产品中心

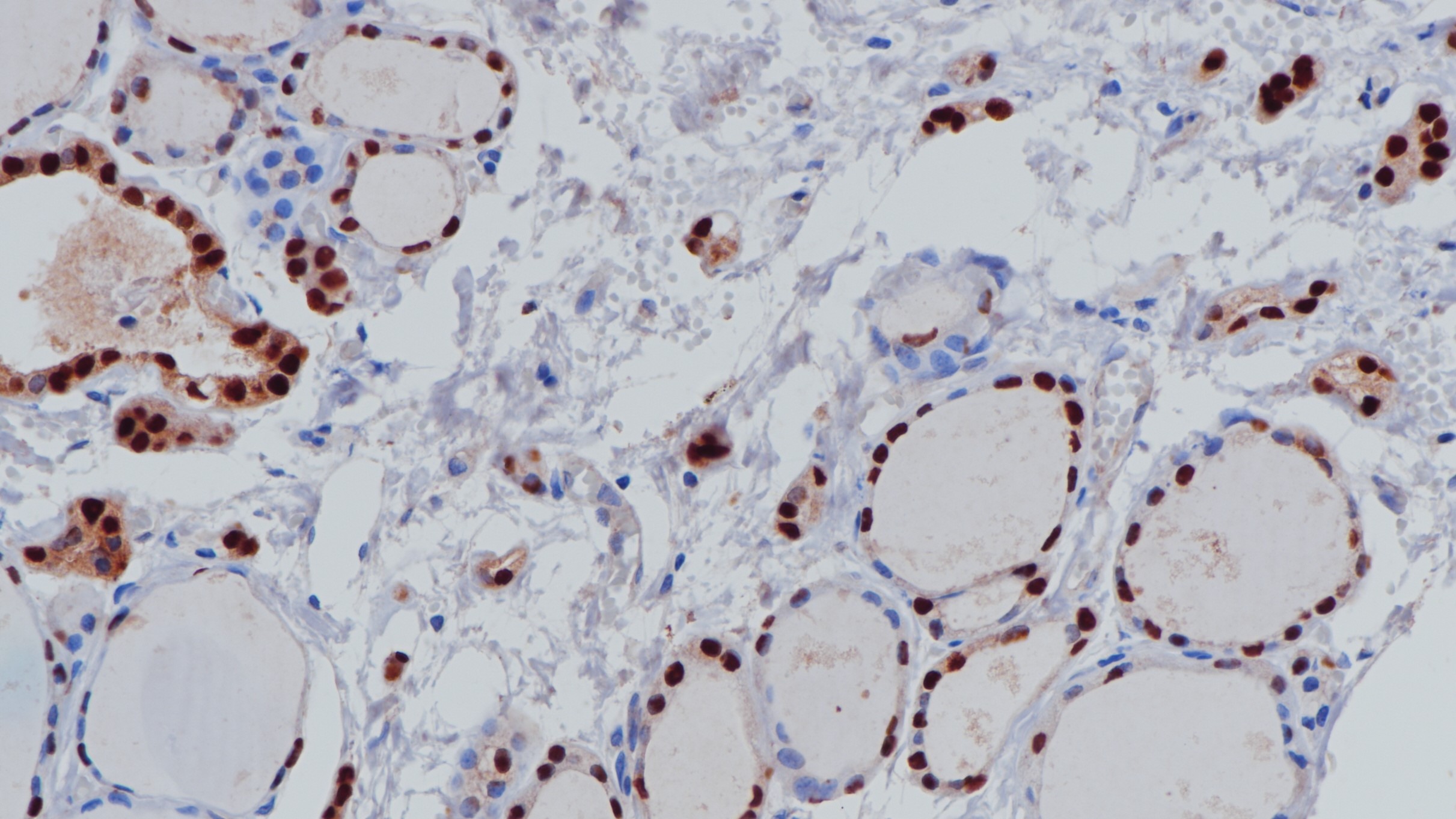
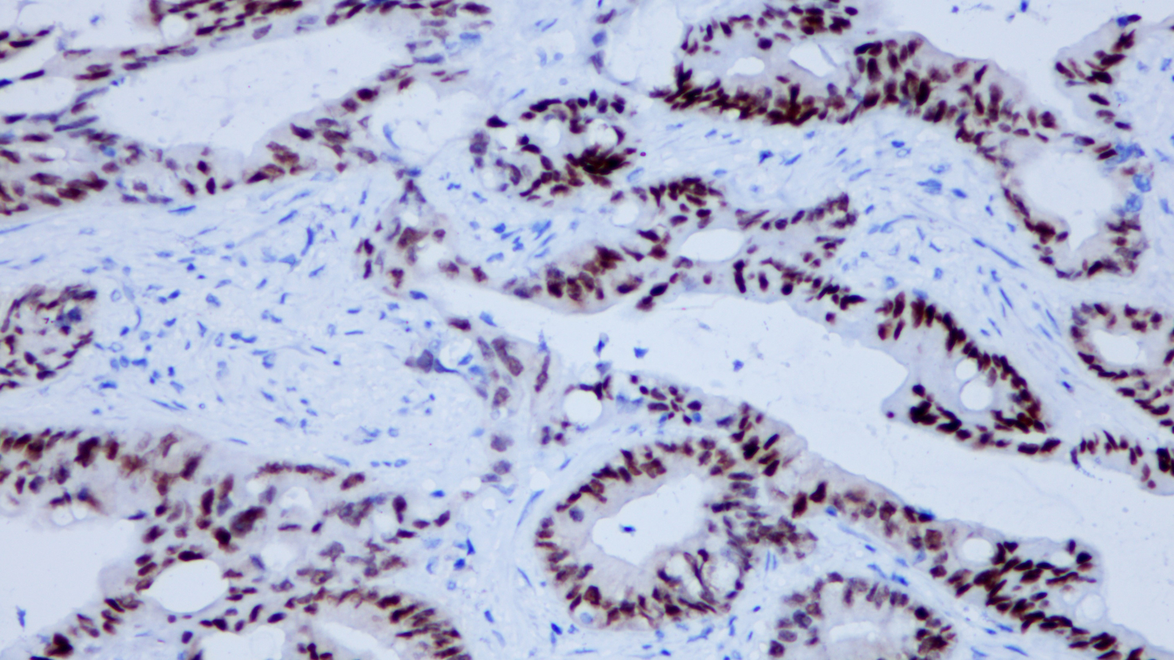
Pax-8 重组兔单克隆抗体

PAX-8是PAX家族转录因子的成员,在胚胎发育的器官形成中发挥重要的作用。PAX-8表达于正常的甲状腺及其相关的肿瘤,输卵管和卵巢囊肿的非纤毛黏膜细胞。临床上,PAX-8可用于肾原发上皮性肿瘤与转移性肿瘤的鉴别,也可用于卵巢浆液性癌与粘液性癌和间皮瘤的鉴别。

Specifications

产品注册名称
Pax-8抗体试剂
目录号
I1156
克隆号
BP6157
亚细胞定位
细胞核
阳性对照
浆液性卵巢癌
修复方式
HIER
组织类型
FFPE
规格
浓缩液:0.1mL/1mL
工作液:1.5mL/7mL
用途
NMPA IVD

Applicable platform

  • Biolynx平台
  • Leica平台
  • Roche平台
  • Dako平台

Reference

1.Pax-8在卵巢腺癌中的表达及其意义[J]. 汪春年,陈洁,夏朝霞,吴晓英.  中国医药导报. 2015(35).
2.PAX-8蛋白在宫颈腺上皮病变鉴别诊断中的作用[J]. 莫洪敏,于江,罗迎春,刘小芬,张海鹏,齐旻芳,黄高翔.  广西医学. 2018(07)
3.中华医学会.《临床技术操作规范·病理学分册》.人民军医出版社,2004.

Contact Us

Address
浙江省杭州市滨江区滨安路688号天和高科技园区5号楼1303室
310052
Phone & Fax
+400-8769-741
+0571-88177680
Web & Mail

Follow Us

Scan QR Codes on Your Phone