产品中心

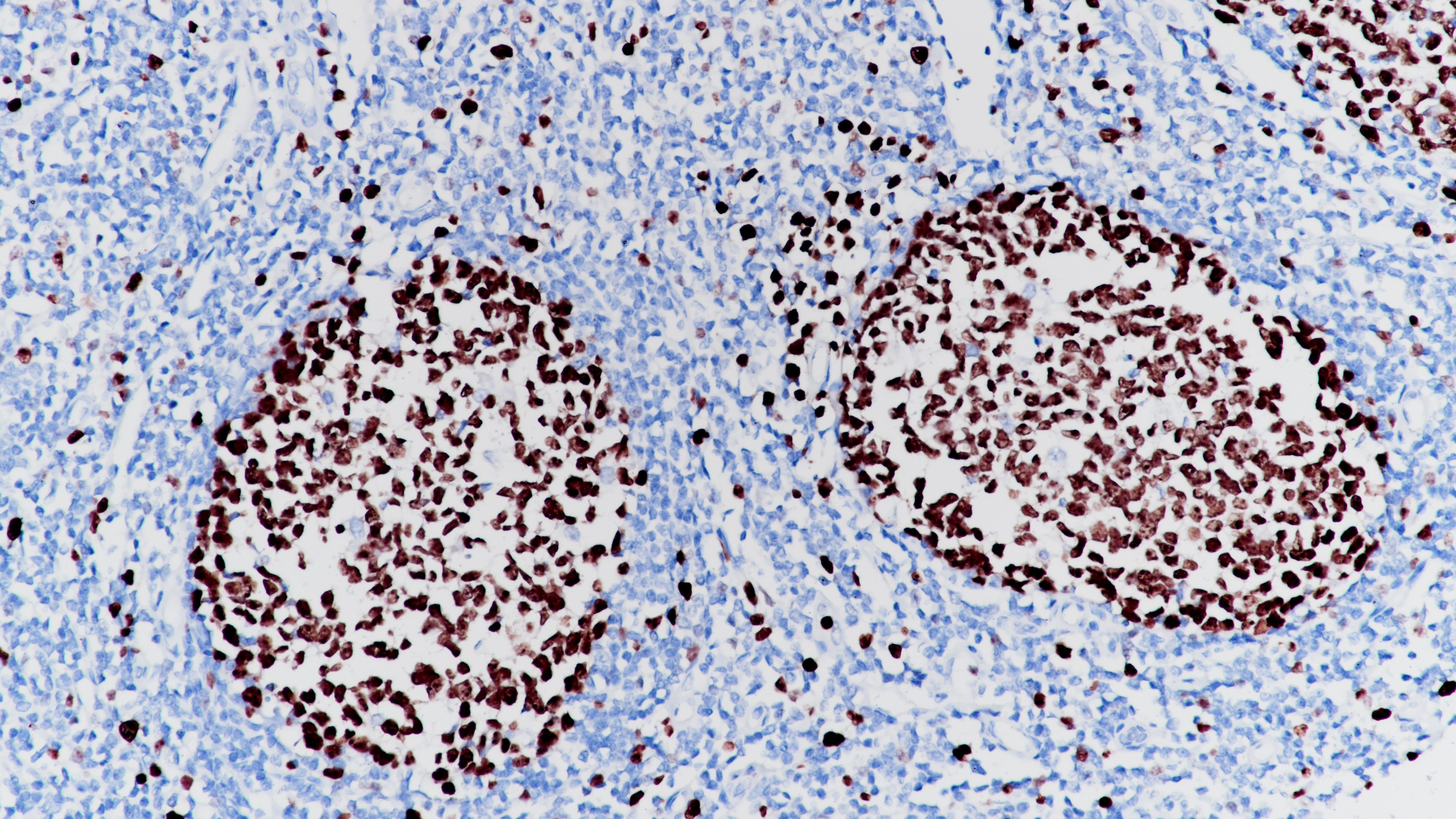
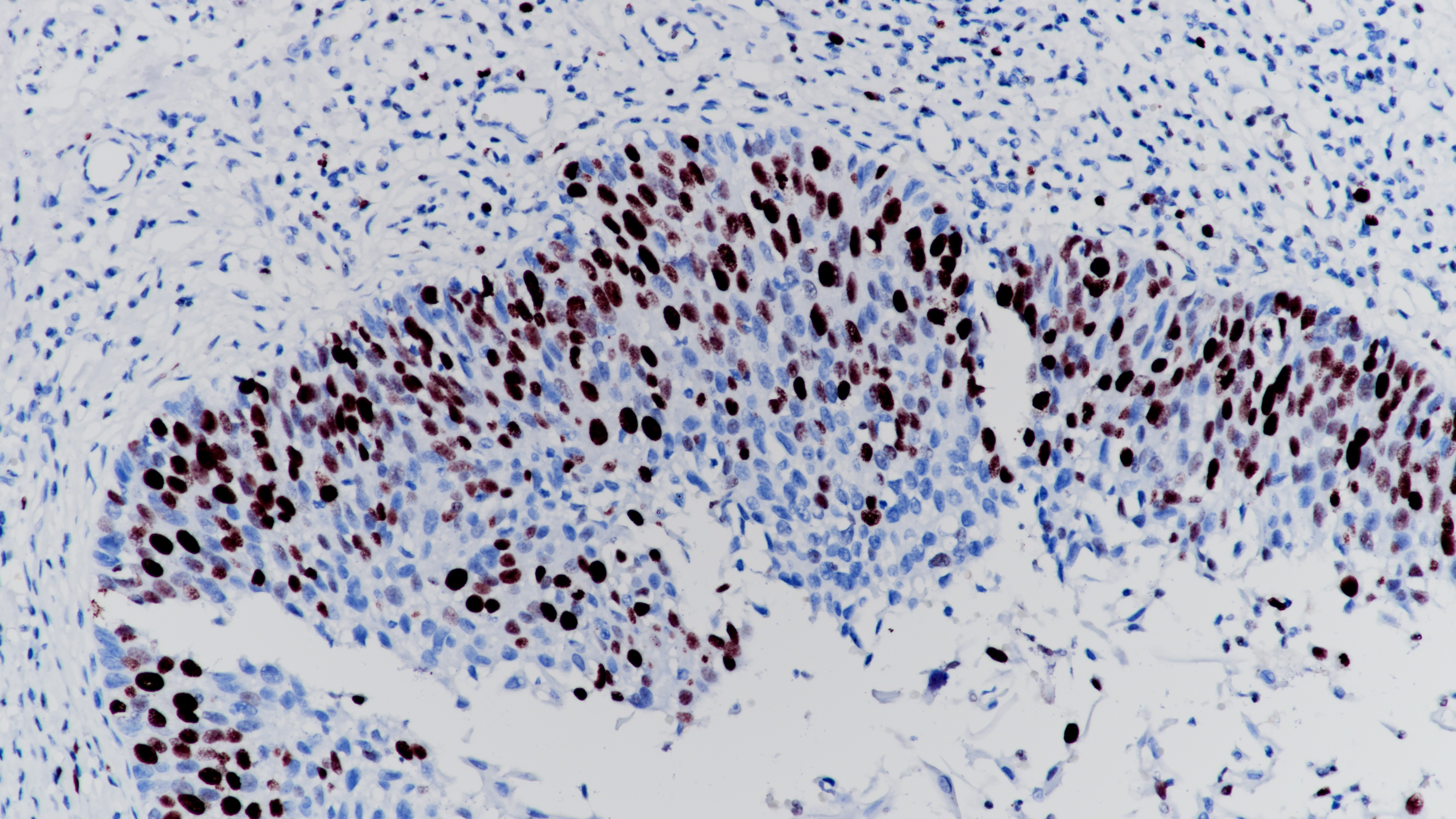
Ki-67 重组兔单克隆抗体

Ki-67抗原是一种与细胞增殖有关的核蛋白,可能是细胞增殖的关键因素。此外,Ki-67还与核糖体RNA转录有关。Ki-67存在于细胞分裂周期G1、S、M和G2期,但在细胞静止期G0期不表达。Ki-67被用作不同类型肿瘤的诊断工具,因为它存在于所有增殖细胞(正常细胞和肿瘤细胞)中,是一种用来确定给定细胞群体增殖比率非常好的标记物。

Specifications

产品注册名称
Ki-67抗体试剂(免疫组织化学)
目录号
I1009
克隆号
BP6045
亚细胞定位
细胞核
阳性对照
扁桃体
修复方式
HIER
组织类型
FFPE
规格
工作液:1.5mL/7mL
浓缩液:0.1mL/1mL
用途
NMPA IVD
CE

Applicable platform

  • Biolynx平台
  • Leica平台
  • Roche平台
  • Dako平台

Reference

1.Scholzen T et al. J Cell Physiol. 2000 Mar;182(3):311-22.

2.Inwald EC et al. Breast Cancer Res Treat. 2013 Jun;139(2):539-52.

3.中华医学会.《临床技术操作规范·病理学分册》.人民军医出版社,2004.

Support Documents

Contact Us

Address
浙江省杭州市滨江区滨安路688号天和高科技园区5号楼1303室
310052
Phone & Fax
+400-8769-741
+0571-88177680
Web & Mail

Follow Us

Scan QR Codes on Your Phone