首页
创新研发
产品中心
病理IHC整体解决方案
IVD一抗
LYNX310设备
LYNX480设备
免疫显色系统及辅助试剂
RUO试剂
液态细胞质控品
科研创新
科研目录抗体
技术服务
服务中心
资料下载
技术支持
关于我们
公司概况
新闻动态
荣誉资质
人才服务
联系我们
简体中文
简体中文
English
产品中心
病理IHC整体解决方案
科研创新
IVD一抗
LYNX310设备
LYNX480设备
免疫显色系统及辅助试剂
RUO试剂
液态细胞质控品
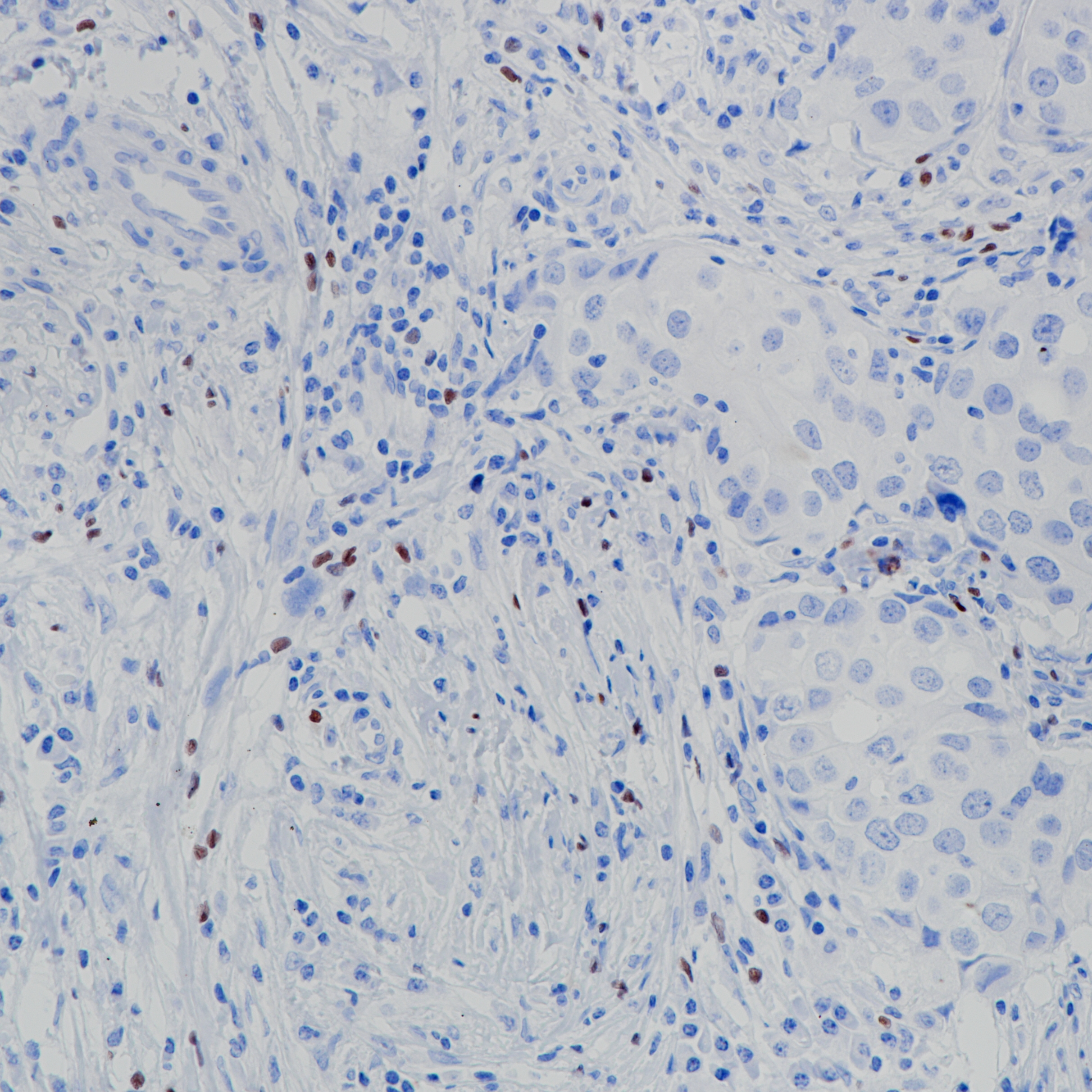
扁桃体 FoxP3(BP6166)染色
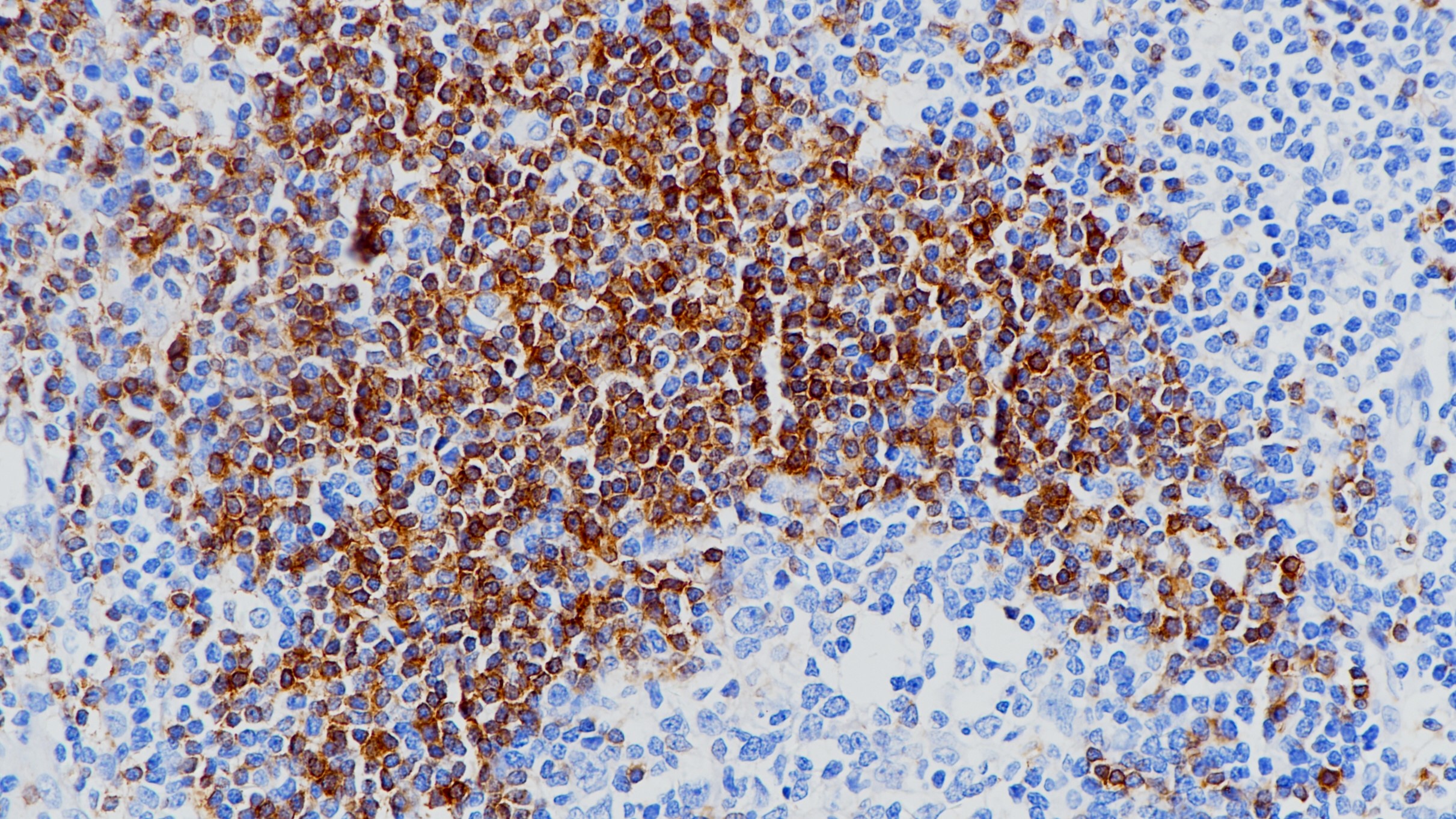
乳腺癌 FoxP3(BP6166)染色
相关产品
PD-L1
BP6099
MDR-1
D-11
Glypican 3
BP6228
FoxP3
重组兔单克隆抗体
Forkhead box (Fox)蛋白是一个高度进化的保守转录因子家族,包含一个被称为Forkhead box或翼状螺旋DNA结合域的序列。FoxP亚家族有四个成员,FoxP1 - FoxP4。FoxP蛋白通常作为转录抑制因子。FOXP3在成人、T细胞白血病或淋巴瘤扁桃体中活化的T淋巴细胞中表达,在器官发育、免疫应答和癌症发病中发挥重要作用。
Specifications
产品注册名称
FoxP3抗体试剂(免疫组织化学法)
目录号
I1230
克隆号
BP6166
亚细胞定位
细胞核
阳性对照
扁桃体
修复方式
HIER
组织类型
FFPE
规格
浓缩液:0.1mL/1mL 工作液:1.5mL/7mL
用途
NMPA IVD
Applicable platform
Biolynx平台
Leica平台
Roche平台
Dako平台
Support Documents
Datesheet
Contact Us
Address
浙江省杭州市滨江区滨安路688号天和高科技园区5号楼1303室
310052
Phone & Fax
+400-8769-741
+0571-88177680
Web & Mail
[email protected]
Follow Us
Scan QR Codes on Your Phone