产品中心

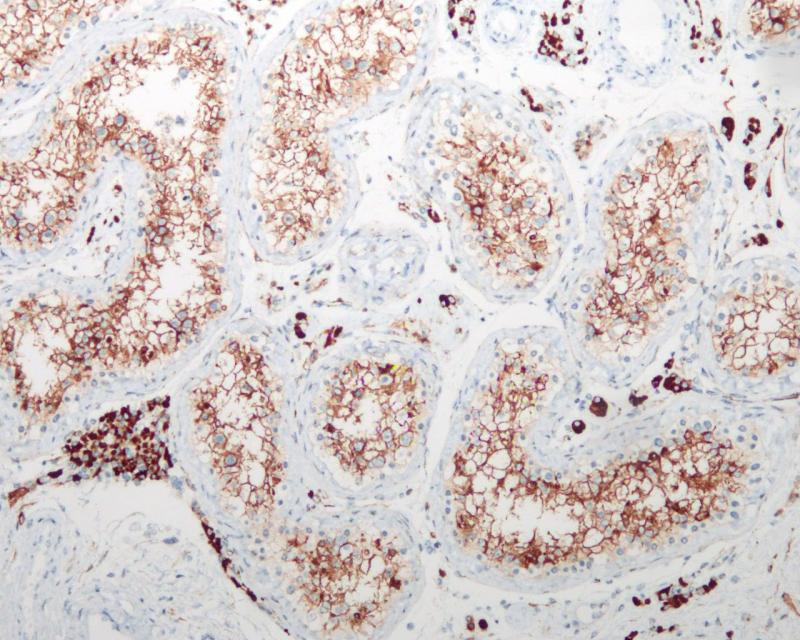
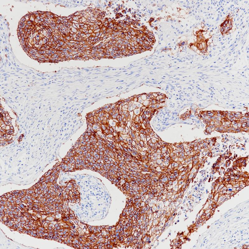
ACE2 重组兔单克隆抗体

ACE2 是一种羧肽酶,能够催化血管紧张素 I 转换成血管紧张素 1-9或者将血管紧张素 II 转换成血管舒张血管紧张素1-7。ACE2 是高血压蛋白原酶-血管紧张素系统 (RAS) 中一个至关重要的组分。ACE2 在心脏和肾脏的血管内皮细胞以及睾丸的 Leydig 和 Sertoli 细胞中表达。ACE2还被发现是SARS和SARS-CoV-2的受体。

Specifications

目录号
BX50175
克隆号
BP6153
阳性对照
亚细胞定位
细胞膜
组织类型
FFPE
修复方式
HIER
稀释比
1:100-1:200
规格
100μl/vial, 1ml/vial
用途
RUO

Reference

1.Donoghue M, et al. Circ. Res. 87:E1-E9(2000).

2.Hofmann H, et al. Natl. Acad. Sci. U.S.A. 102:7988-7993(2005).

Support Documents

Contact Us

Address
浙江省杭州市滨江区滨安路688号天和高科技园区5号楼1303室
310052
Phone & Fax
+400-8769-741
+0571-88177680
Web & Mail

Follow Us

Scan QR Codes on Your Phone