产品中心

pan-Cadherin 重组兔单克隆抗体

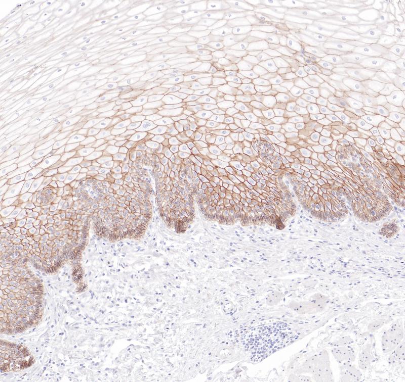
钙粘蛋白(Cadherins)是一个跨膜糖蛋白超家族,在其细胞外区域含有大约100个残基的钙粘蛋白重复序列。钙粘蛋白介导钙依赖性细胞-细胞粘附,在正常组织发育中起关键作用。典型的钙粘蛋白亚家族包括N-、P-、R-和E -钙粘蛋白,它们存在于粘附连接中,这是一种靠近极化上皮细胞顶端表面的细胞结构。钙粘蛋白在许多正常组织中表达,包括胃、食管和肾脏。钙粘蛋白在各种类型的癌症组织中也有表达,包括乳腺癌、宫颈癌和胃癌。研究表明,钙粘蛋白在肿瘤侵袭转移过程中起重要作用。pan-Cadherin可检测钙粘总蛋白的内源表达水平。

Specifications

目录号
BX50319
克隆号
BP6296
阳性对照
食管
亚细胞定位
细胞膜,细胞质
组织类型
FFPE
修复方式
HIER
稀释比
1:100-1:200
规格
100μl/vial, 1ml/vial
用途
RUO

Reference

1. Yamaoka-Tojo, M. (2006) Arterioscler Thromb Vasc Biol 26, 1991-7.
2. Wheelock, M.J. (2003) Annu Rev Cell Dev Biol 19, 207-35.

Support Documents

Contact Us

Address
浙江省杭州市滨江区滨安路688号天和高科技园区5号楼1303室
310052
Phone & Fax
+400-8769-741
+0571-88177680
Web & Mail

Follow Us

Scan QR Codes on Your Phone