产品中心

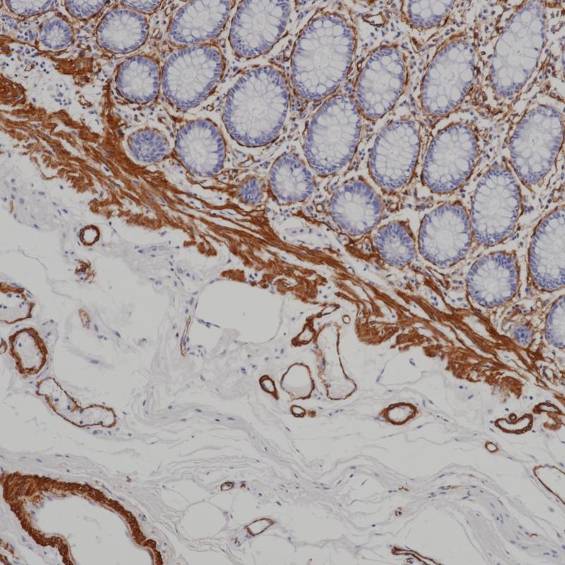
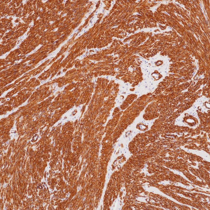
Actin(Smooth Muscle) 鼠单克隆抗体

肌动蛋白(Actins)是一种高度保守的蛋白质,参与多种细胞运动,并在真核细胞中广泛表达。在脊椎动物中有3个主要的肌动蛋白亚型,即Alpha, Beta 和Gamma。 Alpha actins存在于肌肉组织中,是肌肉收缩的主要组成部分。在大多数细胞类型中,Beta和Gamma actins作为细胞骨架的组成部分和内部细胞运动的介质共存。

Specifications

目录号
BX50141
克隆号
1A4
阳性对照
子宫平滑肌瘤
亚细胞定位
细胞质
组织类型
FFPE
修复方式
HIER
稀释比
1:100-1:200
规格
100μl/vial, 1ml/vial
用途
RUO

Reference

1.Gabbiani G,et.al, Proc Natl Acad Sci U S A. 1981Jan;78(1):298-302. 

2.Itoga T, et.al,Pathol Int. 2003 Jun;53(6):371-5.

Support Documents

Contact Us

Address
浙江省杭州市滨江区滨安路688号天和高科技园区5号楼1303室
310052
Phone & Fax
+400-8769-741
+0571-88177680
Web & Mail

Follow Us

Scan QR Codes on Your Phone