产品中心

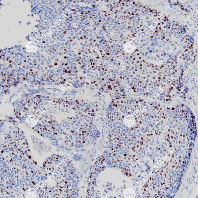
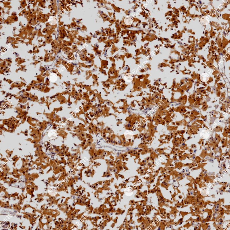
SATB2 重组兔单克隆抗体

SATB2是一种核基质附着区结合转录因子,在颅面、神经和成骨细胞分化中起重要作用。SATB2不仅表达于下消化道(阑尾、结肠和直肠)上皮,在发育中的皮质和脊髓神经元、成骨细胞、淋巴细胞、肾曲小管上皮细胞和脑神经元中也有表达。SATB2不仅是成骨细胞分化的标志物,也是结直肠癌的特殊标志物。SATB2在神经系统发育、骨骼发育和肿瘤细胞侵袭中发挥重要作用。

Specifications

目录号
BX50321
克隆号
BP6298
阳性对照
结肠癌
亚细胞定位
细胞核
组织类型
FFPE
修复方式
HIER
稀释比
1:100-1:200
规格
100μl/vial, 1ml/vial
用途
RUO

Reference

1. Zhou, L.Q. (2012) J Biol Chem 287, 30641-52.
2. Wang, S. et al. (2009) J Pathol 219, 114-22.

Support Documents

Contact Us

Address
浙江省杭州市滨江区滨安路688号天和高科技园区5号楼1303室
310052
Phone & Fax
+400-8769-741
+0571-88177680
Web & Mail

Follow Us

Scan QR Codes on Your Phone