首页
创新研发
产品中心
病理IHC整体解决方案
IVD一抗
LYNX310设备
LYNX480设备
免疫显色系统及辅助试剂
RUO试剂
液态细胞质控品
科研创新
科研目录抗体
技术服务
服务中心
资料下载
技术支持
关于我们
公司概况
新闻动态
荣誉资质
人才服务
联系我们
简体中文
简体中文
English
产品中心
病理IHC整体解决方案
科研创新
IVD一抗
LYNX310设备
LYNX480设备
免疫显色系统及辅助试剂
RUO试剂
液态细胞质控品
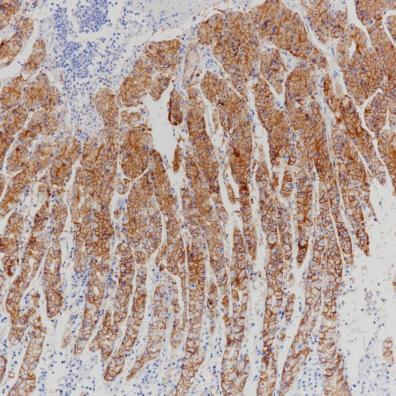
胃癌Claudin 18.2(BP6249)染色
胃Claudin 18.2(BP6249)染色
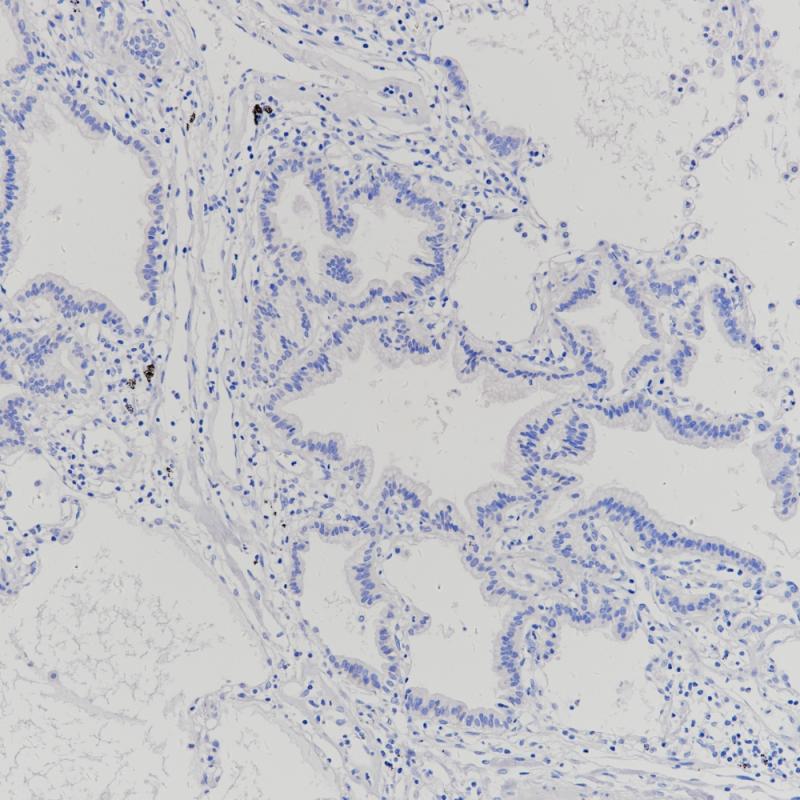
肺Claudin 18.2(BP6249)染色
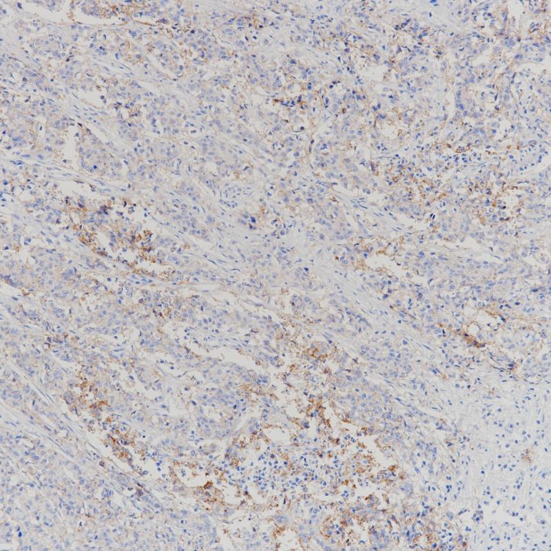
肺腺癌Claudin 18.2(BP6249)染色
相关产品
Von Willebrand Factor (VWF)
BP6084
SALL4
BP6204
MUM1
BP6251
Claudin 18.2
重组兔单克隆抗体
Claudin 18有两个异构体:Claudin 18.1和Claudin 18.2。Claudin 18蛋白的表达呈现高度的组织特异性。正常生理状态下,Claudin 18.1仅表达于肺部,Claudin 18.2仅在胃粘膜已分化的上皮细胞表达。但是,恶性肿瘤的发生会导致紧密连接的破坏,使肿瘤细胞表面的Claudin 18.2表位暴露出来,Claudin 18.2 基因参与肿瘤细胞的增殖分化和迁移,这使其成为潜在的抗肿瘤药物有效分子靶点。目前在胃癌、胰腺癌、食道癌和非小细胞肺癌中也经常观察到异常激活的Claudin18.2。
Specifications
目录号
BX50272
克隆号
BP6249
阳性对照
胃
亚细胞定位
细胞膜
组织类型
FFPE
修复方式
HIER
稀释比
1:100-1:200
规格
100μl/vial, 1ml/vial
用途
RUO
Support Documents
Datesheet
Contact Us
Address
浙江省杭州市滨江区滨安路688号天和高科技园区5号楼1303室
310052
Phone & Fax
+400-8769-741
+0571-88177680
Web & Mail
[email protected]
Follow Us
Scan QR Codes on Your Phone