产品中心

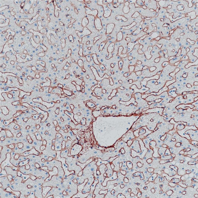
Collagen Type IV 重组兔单克隆抗体

IV型胶原是基底膜的主要成分,与细胞粘附、转移、分化以及生长密切相关。IV型胶原在各类组织中均有表达,包括肾脏、肌肉、淋巴结、肺、肌腱和脾脏等。IV型胶原可用区分乳腺癌中的浸润癌和原位癌,在其他组织的良恶性研究也有报道,如胰腺癌、胰腺炎、肾脏疾病、口腔鳞癌、喉癌、卵巢癌、子宫内膜癌。

Specifications

目录号
BX50067
克隆号
BP6072
阳性对照
亚细胞定位
细胞间质
组织类型
FFPE
修复方式
HIER
稀释比
1:100-1:200
规格
100μl/vial, 1ml/vial
用途
RUO

Reference

1.Smrkolj S et al. Eur J Gynaecol Oncol. 2010; 31(4):380-5.
2.Khoshnoodi J  et al. Microsc Res Tech. 2008 May;71(5):357-70.

Support Documents

Contact Us

Address
浙江省杭州市滨江区滨安路688号天和高科技园区5号楼1303室
310052
Phone & Fax
+400-8769-741
+0571-88177680
Web & Mail

Follow Us

Scan QR Codes on Your Phone