产品中心

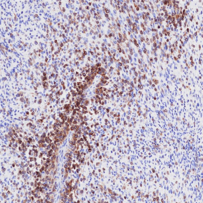
Melan A 重组兔单克隆抗体

Melan A是由118个氨基酸组成的跨膜蛋白,在皮肤,视网膜和大多数的黑色素细胞以及黑素瘤和血管平滑肌脂肪瘤中表达。 该抗体有助于黑素瘤和肾上腺皮质癌的分类以及血管平滑肌脂肪瘤的分类。

Specifications

目录号
BX50081
克隆号
BP6086
阳性对照
黑色素瘤
亚细胞定位
细胞质
组织类型
FFPE
修复方式
HIER
稀释比
1:100-1:200
规格
100μl/vial, 1ml/vial
用途
RUO

Reference

1.Luo W, et al. Oncogene. 1998 Mar; 16(9):1141-7.
2.Fetsch PA, Cormier J, Hijazi YM. J Immunother 1997,20:60-4.

Support Documents

Contact Us

Address
浙江省杭州市滨江区滨安路688号天和高科技园区5号楼1303室
310052
Phone & Fax
+400-8769-741
+0571-88177680
Web & Mail

Follow Us

Scan QR Codes on Your Phone