产品中心

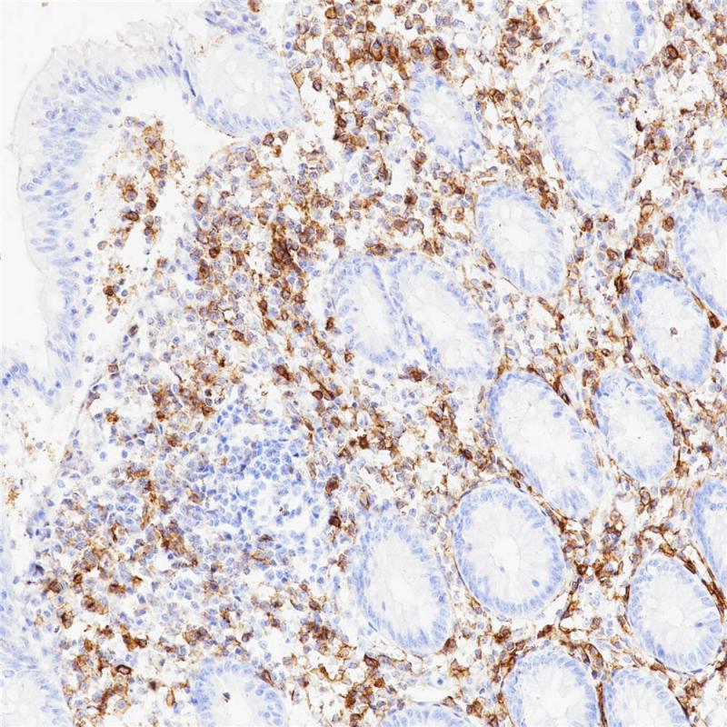
CD38 重组兔单克隆抗体

CD38,也称为ADP-核糖基环化酶,合成第二信使环状ADP-核糖和烟酸-腺嘌呤二核苷酸磷酸,前者是葡萄糖诱导的胰岛素分泌的第二信使。 CD38还具有cADPr水解酶活性。 它在B和T细胞谱系的未成熟细胞上发现,但在大多数成熟的静息外周淋巴细胞上未发现。 它还存在于胸腺细胞,前B细胞,生发中心B细胞,丝裂原活化的T细胞,分泌Ig的浆细胞,单核细胞,NK细胞,骨髓中的红细胞和髓系祖细胞以及脑细胞中。CD38用于鉴定浆细胞和浆母细胞分化,并用于评估B细胞慢性淋巴细胞白血病(CLL)患者的预后。

Specifications

目录号
BX50077
克隆号
BP6082
阳性对照
扁桃体
亚细胞定位
细胞膜
组织类型
FFPE
修复方式
HIER
稀释比
1:100-1:200
规格
100μl/vial, 1ml/vial
用途
RUO

Reference

1.Chini CC  et al. Clin Cancer Res 20:120-30 (2014).
2.Kobayashi M  et al. World J Gastroenterol 20:3597-608 (2014). 

Support Documents

Contact Us

Address
浙江省杭州市滨江区滨安路688号天和高科技园区5号楼1303室
310052
Phone & Fax
+400-8769-741
+0571-88177680
Web & Mail

Follow Us

Scan QR Codes on Your Phone