产品中心

FRα 重组兔单克隆抗体

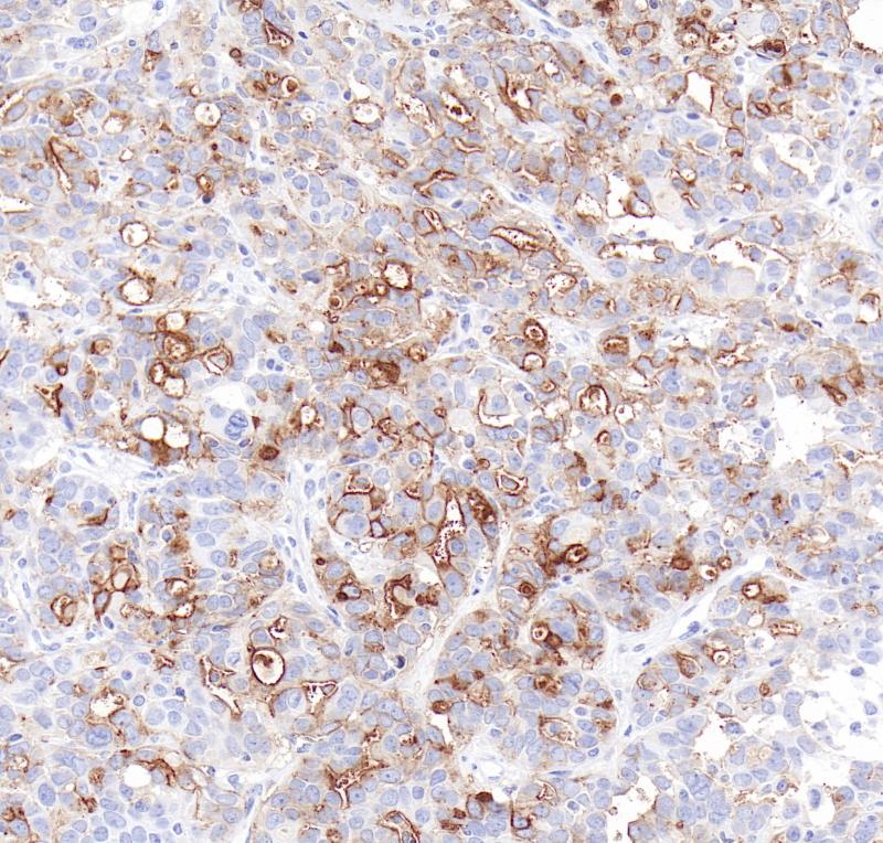
叶酸受体α (FRα)是一种糖基磷脂酰肌醇连接的细胞表面糖蛋白,在中性PH下对叶酸和叶酸类似物具有高亲和力。它是叶酸受体家族的成员,该家族包括FRα、FRβ(72%同源性)、FRγ(68%同源性)。大多数正常组织几乎不表达FRα,在卵巢癌、三阴性乳腺癌、子宫内膜腺癌和非小细胞肺癌(NSCLC)中表达水平较高。研究表明FRα可促进肿瘤生长与患者的预后相关,使之成为一个很好的抗肿瘤药物开发靶点。

Specifications

目录号
BX50309
克隆号
BP6286
阳性对照
卵巢癌
亚细胞定位
细胞膜,细胞质
组织类型
FFPE
修复方式
HIER
稀释比
1:100-1:200
规格
100μl/vial, 1ml/vial
用途
RUO

Reference

1. Ab O, Whiteman KR, et al. Mol Cancer Ther.14(7):1605-13, 2015 Jul.
2. Della-Longa S, Arcovito A. J Mol Graph Model. 44:197-207, 2013 Jul.

Support Documents

Contact Us

Address
浙江省杭州市滨江区滨安路688号天和高科技园区5号楼1303室
310052
Phone & Fax
+400-8769-741
+0571-88177680
Web & Mail

Follow Us

Scan QR Codes on Your Phone