产品中心

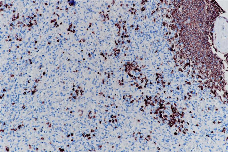
CD79a 重组兔单克隆抗体

分化抗原簇CD79a,即B细胞抗原受体复合蛋白α链,是人体内CD79A基因编码的蛋白。CD79a蛋白几乎存在于所有成熟和不成熟的B细胞中,以及大多数B细胞肿瘤,包括前体B急性淋巴细胞白血病(前B细胞ALL),L和H型淋巴细胞为主型的霍奇金淋巴瘤,以及许多浆细胞瘤。因此,CD79a抗体在区分B细胞肿瘤和T细胞肿瘤/骨髓肿瘤,L和H型淋巴细胞为主型的霍奇金淋巴瘤和典型的霍奇金淋巴瘤的鉴别诊断中很有效。

Specifications

目录号
BX50035
克隆号
BP6040
阳性对照
扁桃体
亚细胞定位
细胞膜/细胞质
组织类型
FFPE
修复方式
HIER
稀释比
1:100-1:200
规格
100μl/vial, 1ml/vial
用途
RUO

Reference

1.Seda V, et.al, Eur J Haematol. 2015 Mar;94(3):193-205.
2.Chu PG, et.al, Appl Immunohistochem Mol Morphol. 2001 Jun;9(2):97-106.

Support Documents

Contact Us

Address
浙江省杭州市滨江区滨安路688号天和高科技园区5号楼1303室
310052
Phone & Fax
+400-8769-741
+0571-88177680
Web & Mail

Follow Us

Scan QR Codes on Your Phone