产品中心

Cytokeratin 14 重组兔单克隆抗体

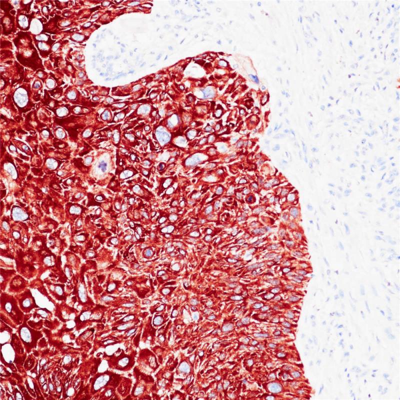
CK14(细胞角蛋白14)是中间纤维蛋白I型角蛋白家族的成员。它总是与II型角蛋白CK5配对,形成复层鳞状上皮角质细胞的基础角蛋白,包括表皮和非角质化的复层鳞状上皮粘膜。CK14在含有干细胞的未分化基底细胞层中高表达,而在分化的基底细胞层中下调。否则,CK14会在广泛分布的复层卵泡外根鞘的所有细胞层中均表达。CK14在正常上皮和肿瘤中的表达谱一致。因此,大多数鳞状细胞癌和恶性间皮瘤高表达这种角蛋白,而在腺癌中很少甚至不表达。CK14可能是鉴别诊断鳞状细胞癌与其他上皮肿瘤的一个有用标记。最近的研究还表明,CK14在乳腺癌中的表达与少数临床结果一致,而CK14在NSCLC的分类中可能具有诊断价值。

Specifications

目录号
BX50047
克隆号
BP6052
阳性对照
食管
亚细胞定位
细胞质
组织类型
FFPE
修复方式
HIER
稀释比
1:100-1:200
规格
100μl/vial, 1ml/vial
用途
RUO

Reference

1.Reis-Filho JS, et.al. Virchows Arch. 2003 Aug;443(2):122-32.
2.Moll R, et.al. Histochem Cell Biol. 2008 Jun;129(6):705-33. 

Support Documents

Contact Us

Address
浙江省杭州市滨江区滨安路688号天和高科技园区5号楼1303室
310052
Phone & Fax
+400-8769-741
+0571-88177680
Web & Mail

Follow Us

Scan QR Codes on Your Phone