首页
创新研发
产品中心
病理IHC整体解决方案
IVD一抗
LYNX310设备
LYNX480设备
免疫显色系统及辅助试剂
RUO试剂
液态细胞质控品
科研创新
科研目录抗体
技术服务
服务中心
资料下载
技术支持
关于我们
公司概况
新闻动态
荣誉资质
人才服务
联系我们
简体中文
简体中文
English
产品中心
病理IHC整体解决方案
科研创新
IVD一抗
LYNX310设备
LYNX480设备
免疫显色系统及辅助试剂
RUO试剂
液态细胞质控品
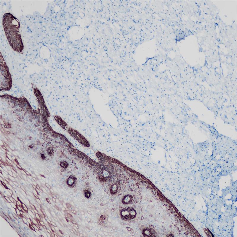
扁桃体Clusterin(BP6268)染色
相关产品
CD117
BP6064
ERG
BP6127
Uroplakin 1b (UPK1B)
BP6310
Clusterin
重组兔单克隆抗体
Clusterin是一种分子量为75-80kDa的异二聚体糖蛋白,存在于体腔表面被覆上皮细胞和大多数生物液中。过表达或低表达Clusterin与一系列疾病有关,包括各种癌、肾小球肾炎、多囊性肾病、肾小管损伤、乳腺复旧、不孕症和神经退行性疾病(包括阿尔海默氏病、动脉粥样硬化及心肌梗死)。研究表明,clusterin可能是ALCL的一个有用的诊断标志物,特别是在ALK-1(-)病例中。clusterin的过表达似乎是卵巢癌患者有用的预后因素。
Specifications
目录号
BX50291
克隆号
BP6268
阳性对照
扁桃体
亚细胞定位
细胞膜
组织类型
FFPE
修复方式
HIER
稀释比
1:100-1:200
规格
100μl/vial, 1ml/vial
用途
RUO
Support Documents
Datesheet
Contact Us
Address
浙江省杭州市滨江区滨安路688号天和高科技园区5号楼1303室
310052
Phone & Fax
+400-8769-741
+0571-88177680
Web & Mail
[email protected]
Follow Us
Scan QR Codes on Your Phone