产品中心

PSA 重组兔单克隆抗体

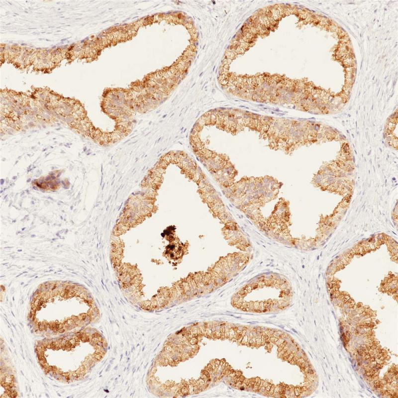
前列腺特异性抗原(PSA)是一种由237个氨基酸组成的单链糖蛋白,含有约8%的碳水化合物。PSA是一类几乎完全由前列腺上皮细胞产生的丝氨酸蛋白酶。免疫组织化学中,PSA特异性地在前列腺分泌细胞的顶端表层以及约99%前列腺癌病例中表达。PSA染色强度与恶性程度之间存在相关性,分级越高表达越弱,约1%的低分化癌显示PSA-。PSA可同NKX3.1和Prostein一起使用,其敏感性同PSA,但特异性略优于PSA。

Specifications

目录号
BX50038
克隆号
BP6043
阳性对照
前列腺癌
亚细胞定位
细胞质
组织类型
FFPE
修复方式
HIER
稀释比
1:100-1:200
规格
100μl/vial, 1ml/vial
用途
RUO

Reference

1.Ward AM, et.al, Ann Clin Biochem 2001; 38: 633-651.
2.ACS Aguiar , et.al, Histol Histopathol (2000) 15: 131-142.

Support Documents

Contact Us

Address
浙江省杭州市滨江区滨安路688号天和高科技园区5号楼1303室
310052
Phone & Fax
+400-8769-741
+0571-88177680
Web & Mail

Follow Us

Scan QR Codes on Your Phone