产品中心

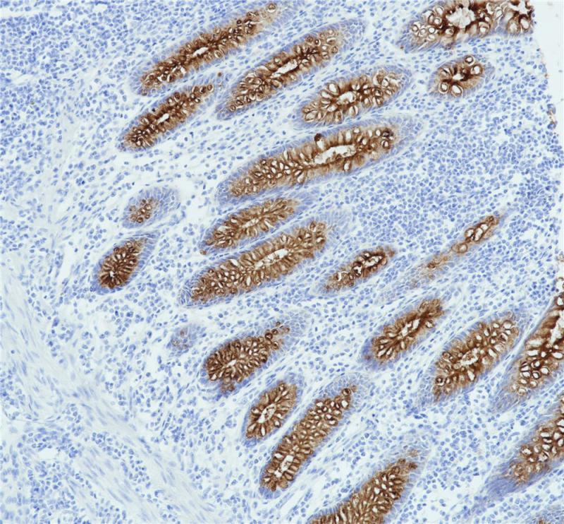
MUC4 重组兔单克隆抗体

MUC4 是由上皮细胞分泌的一类高分子量糖基化蛋白,主要表达在人体管腔器官的上皮细胞表面。与多种肿瘤的发生发展有关,可作为肺癌、食管鳞状细胞癌等的诊断依据。此外,其在正常胰腺组织中不表达,在胰腺癌中过表达的特性,可用于诊断胰腺癌。

Specifications

目录号
BX50117
克隆号
BP6121
阳性对照
宫颈癌
亚细胞定位
细胞质
组织类型
FFPE
修复方式
HIER
稀释比
1:100-1:200
规格
100μl/vial, 1ml/vial
用途
RUO

Reference

1.Svetlana Kovalenko, et al. Adv Respir Med. 2017;85(1):3-7.
2.Chebib, et al . International Journal of Surgical Pathology. 2014;23(2), 144–148.

Support Documents

Contact Us

Address
浙江省杭州市滨江区滨安路688号天和高科技园区5号楼1303室
310052
Phone & Fax
+400-8769-741
+0571-88177680
Web & Mail

Follow Us

Scan QR Codes on Your Phone