产品中心

LAG-3 重组兔单克隆抗体

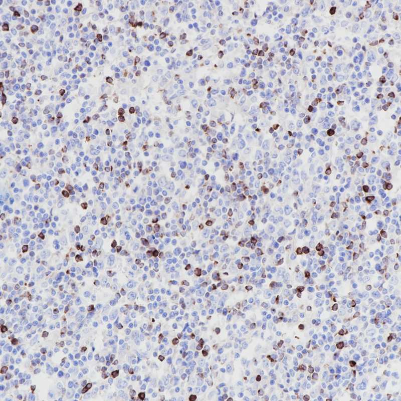
淋巴细胞激活基因3 (LAG-3, CD223)是一种免疫检查点控制蛋白,负向调节T细胞和免疫反应。作为Ig超家族的cd4样成员,LAG3包含一个胞外IgV和三个IgC结构域,一个跨膜结构域和一个短的细胞质区域。LAG3主要由活化的CD4+ T细胞、CD8+ T细胞、regs和NK细胞表达,在这些细胞中,LAG3被MHC II类分子(其唯一已知的配体)激活。虽然最初显示LAG3可以激活Treg细胞,但它也可以抑制CD8+ T细胞。LAG3常与PD-1在肿瘤浸润淋巴细胞表面共同表达,两种蛋白独立作用于肿瘤介导的免疫抑制。LAG3的阻断是一种很有前途的肿瘤干预策略。

Specifications

目录号
BX50215
克隆号
BP6192
阳性对照
淋巴瘤
亚细胞定位
细胞膜
组织类型
FFPE
修复方式
HIER
稀释比
1:100-1:200
规格
100μl/vial, 1ml/vial
用途
RUO

Support Documents

Contact Us

Address
浙江省杭州市滨江区滨安路688号天和高科技园区5号楼1303室
310052
Phone & Fax
+400-8769-741
+0571-88177680
Web & Mail

Follow Us

Scan QR Codes on Your Phone