产品中心

IL-11RA 重组兔单克隆抗体

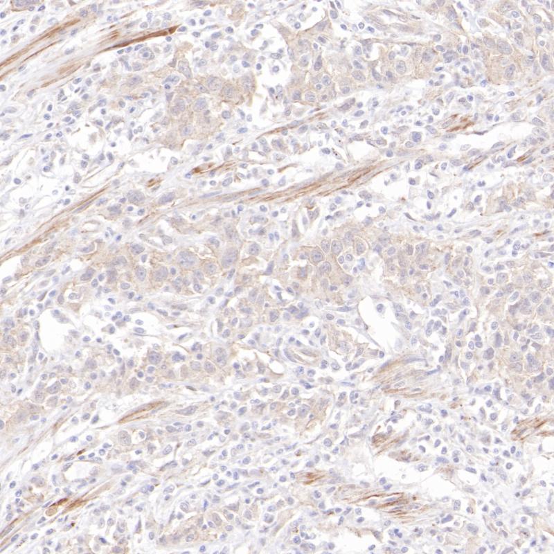
白细胞介素11受体α(Interleukin-11 Receptor Alpha,IL-11RA)是多功能细胞因子IL-11功能性受体的一个亚基,在信号转导过程中发挥重要作用。IL-11RA 表达的上调与消化道癌症(食管癌、结直肠癌、胃癌)、乳腺癌的转移相关,可作为疾病严重程度和进展的潜在生物标志物。

Specifications

目录号
BX50347
克隆号
BP6315
阳性对照
食管癌
亚细胞定位
细胞质、细胞膜
组织类型
FFPE
修复方式
HIER
稀释比
1:100-1:200
规格
100μl/vial, 1ml/vial
用途
RUO

Reference

1. Ng, B. et al. (2022) Int J Mol Sci 23.
2. Dong, J. et al. (2021) Nat Commun 12:66.

Support Documents

Contact Us

Address
浙江省杭州市滨江区滨安路688号天和高科技园区5号楼1303室
310052
Phone & Fax
+400-8769-741
+0571-88177680
Web & Mail

Follow Us

Scan QR Codes on Your Phone