产品中心

Helicobacter pylori 重组兔单克隆抗体

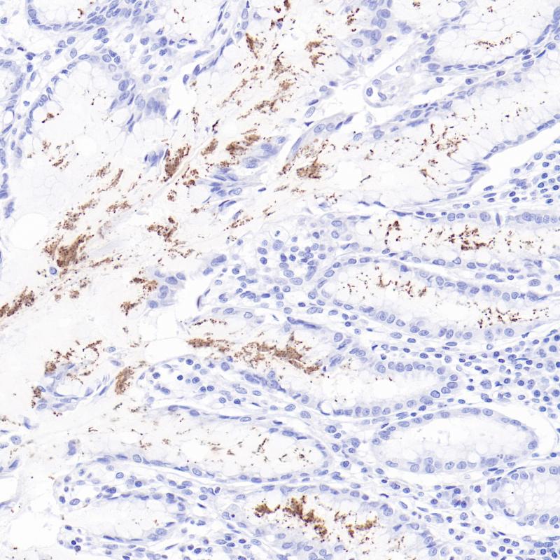
幽门螺杆菌(Helicobacter pylori, HP)感染是导致慢性胃炎、消化性溃疡以及胃癌的重要病因。在临床诊断中,可通过免疫组织化学方法来检测胃活检组织中HP的存在,对胃癌的早期诊断、后续治疗及预后判断等方面具有重要指导意义。

Specifications

目录号
BX50353
克隆号
BP6321
阳性对照
亚细胞定位
Positive overall cytoplasm of Helicobacter pylori(gastric mucosal epithelium)
组织类型
FFPE
修复方式
HIER
稀释比
1:100-1:200
规格
100μl/vial, 1ml/vial
用途
RUO

Reference

1. Pakharukova, MY. et al. (2021) Sci Rep 11:7789.2.
2. Zhou, D. et al. (2011) PLoS ONE 6(11), e27390.

Support Documents

Contact Us

Address
浙江省杭州市滨江区滨安路688号天和高科技园区5号楼1303室
310052
Phone & Fax
+400-8769-741
+0571-88177680
Web & Mail

Follow Us

Scan QR Codes on Your Phone