首页
创新研发
产品中心
病理IHC整体解决方案
IVD一抗
LYNX310设备
LYNX480设备
免疫显色系统及辅助试剂
RUO试剂
液态细胞质控品
科研创新
科研目录抗体
技术服务
服务中心
资料下载
技术支持
关于我们
公司概况
新闻动态
荣誉资质
人才服务
联系我们
简体中文
简体中文
English
产品中心
病理IHC整体解决方案
科研创新
IVD一抗
LYNX310设备
LYNX480设备
免疫显色系统及辅助试剂
RUO试剂
液态细胞质控品
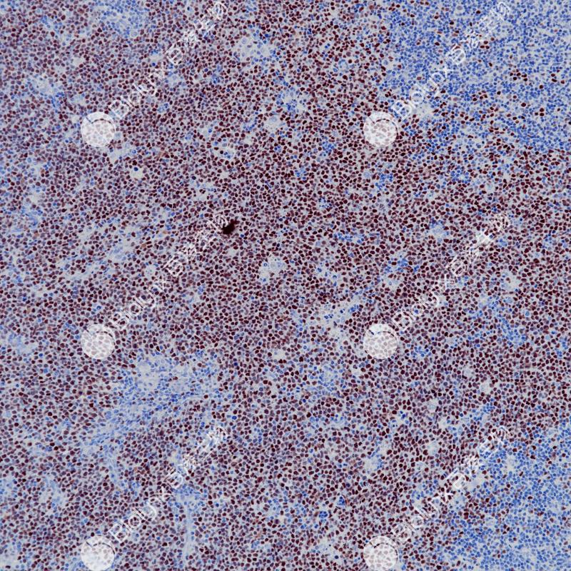
扁桃体Bcl-6(BP6261)染色
弥漫大B细胞淋巴瘤Bcl-6(BP6261)染色
相关产品
MGMT
BP6217
Islet-1
BP6280
Oct 3/4
BP6164
Bcl-6
兔单克隆抗体
Bcl-6是一种编码为kruppel型锌指95kDa的原癌基因蛋白,具有诱导细胞凋亡功能。Bcl-6主要表达在正常生发中心B细胞及相关的淋巴瘤中。研究显示,在非霍奇金氏淋巴瘤中,Bcl-6原癌基因涉及染色体3q27基因重排,在33-45%弥漫性大B细胞淋巴瘤中也检测到Bcl-6基因重排。据报道,免疫组织化学染色在滤泡性淋巴瘤、弥漫性大B细胞淋巴瘤、伯基特淋巴瘤和结节性淋巴细胞为主型的霍奇金氏病中可以检测到Bcl-6基因产物。
Specifications
目录号
BX50284
克隆号
BP6261
阳性对照
弥漫大B细胞淋巴瘤
亚细胞定位
细胞核
组织类型
FFPE
修复方式
HIER
稀释比
1:100-1:200
规格
100μl/vial, 1ml/vial
用途
RUO
Support Documents
Datesheet
Contact Us
Address
浙江省杭州市滨江区滨安路688号天和高科技园区5号楼1303室
310052
Phone & Fax
+400-8769-741
+0571-88177680
Web & Mail
[email protected]
Follow Us
Scan QR Codes on Your Phone