首页
创新研发
产品中心
病理IHC整体解决方案
IVD一抗
LYNX310设备
LYNX480设备
免疫显色系统及辅助试剂
RUO试剂
液态细胞质控品
科研创新
科研目录抗体
技术服务
服务中心
资料下载
技术支持
关于我们
公司概况
新闻动态
荣誉资质
人才服务
联系我们
简体中文
简体中文
English
产品中心
病理IHC整体解决方案
科研创新
IVD一抗
LYNX310设备
LYNX480设备
免疫显色系统及辅助试剂
RUO试剂
液态细胞质控品
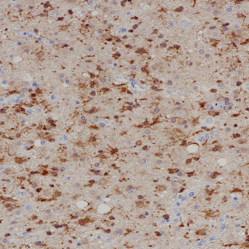
IDH1-R132H突变的胶质瘤-1
IDH1-R132H突变的胶质瘤-2
相关产品
Cytokeratin 17
BP6108
EpCAM
BP6056
Cyclin D1
BP6076
IDH1 R132H
重组兔单克隆抗体
IDH1的132密码子杂合点突变在世界卫生组织(WHO) II级和III级神经胶质瘤中较为常见。IDH1 R132H突变发生在大约70%的星形细胞瘤和少突胶质细胞瘤中。该抗体在肿瘤分类和检测单一浸润性肿瘤细胞方面非常有用。诊断星形细胞瘤和少突胶质细胞瘤的常规实用方法首先是IHC检测IDH1 R132H和ATRX的表达。
Specifications
目录号
BX50228
克隆号
BP6205
阳性对照
IDH1 R132H突变的胶质瘤
亚细胞定位
细胞质
组织类型
FFPE
修复方式
HIER
稀释比
1:100-1:200
规格
100μl/vial, 1ml/vial
用途
RUO
Support Documents
Datesheet
Contact Us
Address
浙江省杭州市滨江区滨安路688号天和高科技园区5号楼1303室
310052
Phone & Fax
+400-8769-741
+0571-88177680
Web & Mail
[email protected]
Follow Us
Scan QR Codes on Your Phone