产品中心

Cytokeratin 17 重组兔单克隆抗体

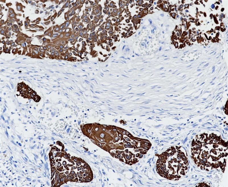
CK17在正常组织中主要表达于复层上皮和假复层上皮的基底细胞以及部分腺体(如唾液腺)的肌上皮细胞中。该抗体主要用于肺、子宫颈和口腔鳞状细胞癌的诊断。

Specifications

目录号
BX50103
克隆号
BP6108
阳性对照
食管癌
亚细胞定位
细胞质
组织类型
FFPE
修复方式
HIER
稀释比
1:100-1:200
规格
100μl/vial, 1ml/vial
用途
RUO

Reference

1.van de Rijn M, et al. Am J Pathol. 2002 Dec; 161(6):1991-6.
2.Lerma E, Barnadas A, Prat J. Appl Immunohistochem Mol Morphol. 2009 Dec; 17(6):483-94.

Support Documents

Contact Us

Address
浙江省杭州市滨江区滨安路688号天和高科技园区5号楼1303室
310052
Phone & Fax
+400-8769-741
+0571-88177680
Web & Mail

Follow Us

Scan QR Codes on Your Phone