产品中心

EpCAM 重组兔单克隆抗体

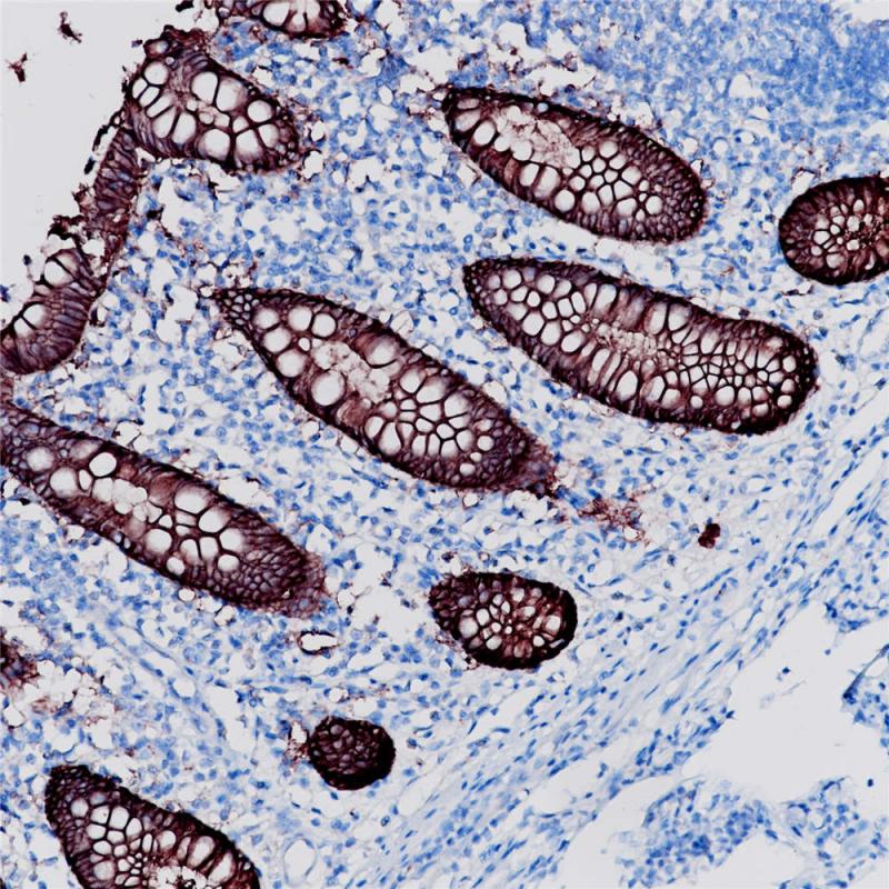
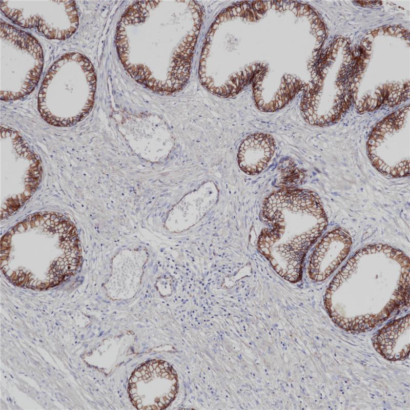
EpCAM(上皮细胞粘附分子)是一种跨膜糖蛋白,可充当肠上皮细胞(IECs)和粘膜上皮内淋巴细胞(IELs)间的嗜同种受体反应分子,作为预防粘膜感染免疫屏障的第一道防线。它在胚胎干细胞的增殖和分化中起着重要作用,还能上调FABP5、MYC和细胞周期蛋白A和E的表达。这种糖蛋白位于细胞膜表面(优先于基底细胞)和几乎所有上皮细胞的细胞质中,除了大多数鳞状上皮细胞、肝细胞、肾近管细胞、胃壁细胞和肌上皮细胞外。然而,阳性可见于内胚层(如腭扁桃体)和中胚层(如子宫)的鳞状上皮细胞的基底层。正常的间皮细胞是EpCAM阴性的,但在出现反应性变化时可能表达出局部反应。EpCAM在大多数上皮肿瘤中都可见,而大多数非上皮肿瘤不显示EpCAM的表达。与其他标记联合使用,EpCAM可作为一种辅助手段,用来确定肿瘤的上皮来源,如区分肺腺癌和间皮瘤。

Specifications

目录号
BX50051
克隆号
BP6056
阳性对照
结肠
亚细胞定位
细胞膜
组织类型
FFPE
修复方式
HIER
稀释比
1:100-1:200
规格
100μl/vial, 1ml/vial
用途
RUO

Reference

1.Latza et al. J Clin Pathol. 1990;43:213-19.
2.Ordonez NG et al. Am J Clin Pathol 1998;109(1):85-89.

Support Documents

Contact Us

Address
浙江省杭州市滨江区滨安路688号天和高科技园区5号楼1303室
310052
Phone & Fax
+400-8769-741
+0571-88177680
Web & Mail

Follow Us

Scan QR Codes on Your Phone