首页
创新研发
产品中心
病理IHC整体解决方案
IVD一抗
LYNX310设备
LYNX480设备
免疫显色系统及辅助试剂
RUO试剂
液态细胞质控品
科研创新
科研目录抗体
技术服务
服务中心
资料下载
技术支持
关于我们
公司概况
新闻动态
荣誉资质
人才服务
联系我们
简体中文
简体中文
English
产品中心
病理IHC整体解决方案
科研创新
IVD一抗
LYNX310设备
LYNX480设备
免疫显色系统及辅助试剂
RUO试剂
液态细胞质控品
胚胎性癌SALL4(BP6204)染色
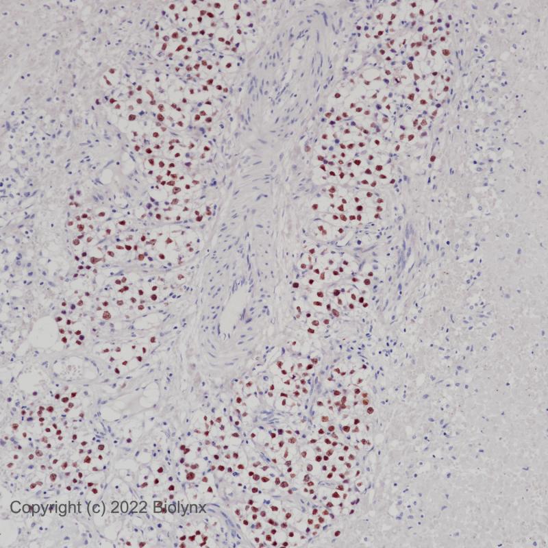
精原细胞瘤SALL4(BP6204)染色
相关产品
Cytokeratin Pan
BP6051/BP6058
Carbonic Anhydrase 12
BP6318
Glypican-3
BP6228
SALL4
重组兔单克隆抗体
SALL基因家族成员编码锌指转录因子在发育过程中高度表达。Sall-like蛋白4 (SALL4)是胚胎多能性的主要调节因子,并参与与干细胞活动相关的过程。正常睾丸的精原细胞中也有SALL4的表达。SALL4在生殖细胞中的表达使其成为生殖细胞肿瘤如精原细胞瘤、胚胎癌、卵黄囊瘤和畸胎瘤的有用标记物。
Specifications
目录号
BX50227
克隆号
BP6204
阳性对照
精原细胞瘤
亚细胞定位
细胞核
组织类型
FFPE
修复方式
HIER
稀释比
1:100-1:200
规格
100μl/vial, 1ml/vial
用途
RUO
Support Documents
Datesheet
Contact Us
Address
浙江省杭州市滨江区滨安路688号天和高科技园区5号楼1303室
310052
Phone & Fax
+400-8769-741
+0571-88177680
Web & Mail
[email protected]
Follow Us
Scan QR Codes on Your Phone