产品中心

p63 重组兔单克隆抗体

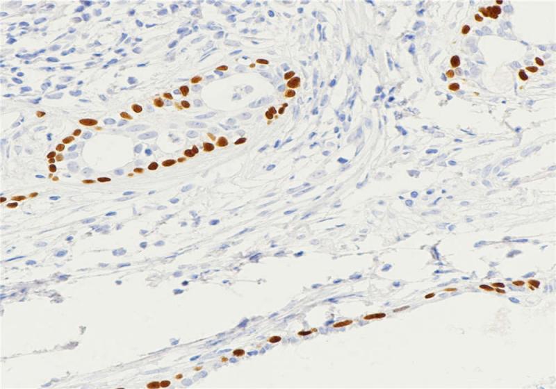
p63是一种与肿瘤抑制基因p53相关的转录因子,维持基底细胞的再生能力,并在调节外胚层间质的相互作用中发挥功能。此外,p63还在复层上皮细胞的发育过程中起着至关重要的作用。正常组织中,p63在复层上皮的基底细胞中表达,如皮肤、外子宫颈、食管、膀胱上皮和支气管。p63还存在于腺体组织的基底细胞中,如前列腺、胸腺以及淋巴组织。近来,有研究显示p63与其他标记物联合使用可能有助于区分鳞状细胞癌与其它类型的肿瘤。

Specifications

目录号
BX50033
克隆号
BP6038
阳性对照
前列腺
亚细胞定位
细胞核
组织类型
FFPE
修复方式
HIER
稀释比
1:100-1:200
规格
100μl/vial, 1ml/vial
用途
RUO

Reference

1.Au NH, et.al, Appl Immunohistochem Mol Morphol. 2004 Sep;12(3):240-7.
2.Lewis JS, et.al, Mod Pathol. 2005 Nov;18(11):1471-81.

Support Documents

Contact Us

Address
浙江省杭州市滨江区滨安路688号天和高科技园区5号楼1303室
310052
Phone & Fax
+400-8769-741
+0571-88177680
Web & Mail

Follow Us

Scan QR Codes on Your Phone