首页
创新研发
产品中心
病理IHC整体解决方案
IVD一抗
LYNX310设备
LYNX480设备
免疫显色系统及辅助试剂
RUO试剂
液态细胞质控品
科研创新
科研目录抗体
技术服务
服务中心
资料下载
技术支持
关于我们
公司概况
新闻动态
荣誉资质
人才服务
联系我们
简体中文
简体中文
English
产品中心
病理IHC整体解决方案
科研创新
IVD一抗
LYNX310设备
LYNX480设备
免疫显色系统及辅助试剂
RUO试剂
液态细胞质控品
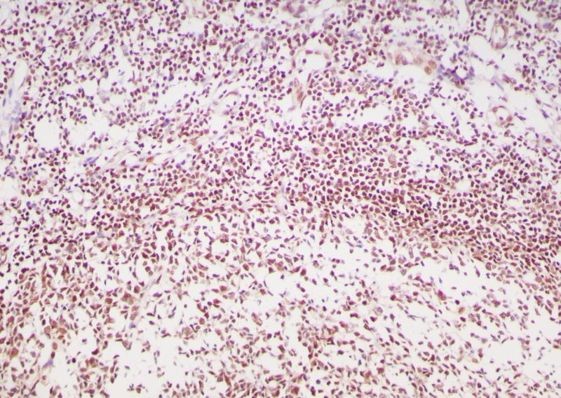
阑尾MGMT(BP6217)染色
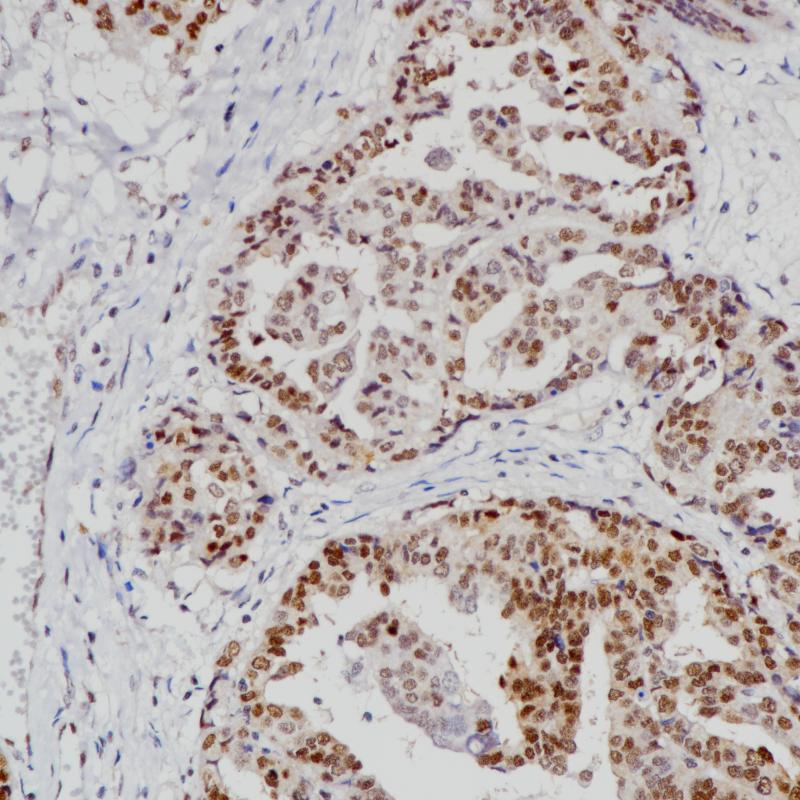
子宫内膜癌MGMT(BP6217)染色
相关产品
Progesterone Receptor
BP6081
Arginase-1
BP6158
CD38
BP6082
MGMT
重组兔单克隆抗体
MGMT,O6 -甲基鸟嘌呤-DNA甲基转移酶,是一个DNA修复酶,参与对DNA中O6 -甲基鸟嘌呤(O6-MeG)生物效应的细胞防御。MGMT启动子甲基化将导致 MGMT基因的沉默,从而减少 MGMT mRNA和蛋白的表达,因此,患者的 MGMT基因启动子区甲基化程度越高,使用烷基化药物的效果可能越好。
Specifications
目录号
BX50240
克隆号
BP6217
阳性对照
子宫内膜瘤
亚细胞定位
细胞核
组织类型
FFPE
修复方式
HIER
稀释比
1:100-1:200
规格
100μl/vial, 1ml/vial
用途
RUO
Support Documents
Datesheet
Contact Us
Address
浙江省杭州市滨江区滨安路688号天和高科技园区5号楼1303室
310052
Phone & Fax
+400-8769-741
+0571-88177680
Web & Mail
[email protected]
Follow Us
Scan QR Codes on Your Phone