产品中心

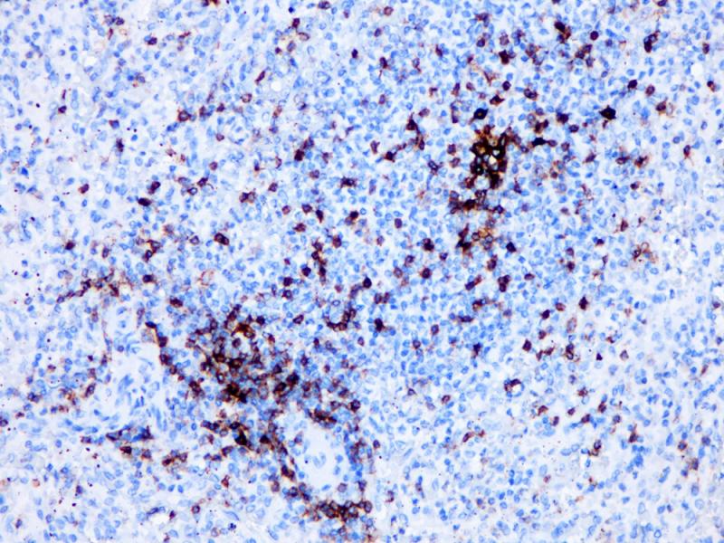
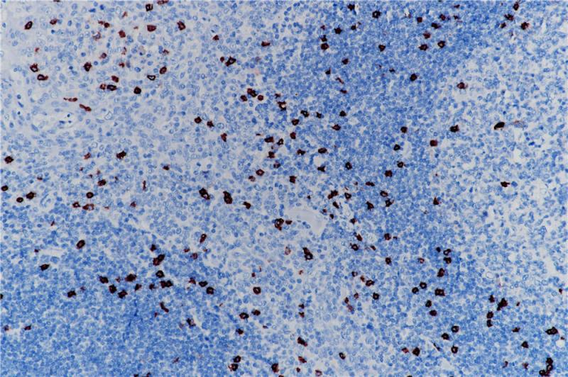
PD-1 重组兔单克隆抗体

PD-1是CD28/CTLA-4 T细胞家族的一种细胞表面联合受体,它通过双重抑制机制为免疫系统做下行调节,它表达在活化的T细胞、B细胞和骨髓细胞上,是血管免疫母细胞性淋巴瘤的标记物。

Specifications

目录号
BX00023
克隆号
BP6003
阳性对照
扁桃体
亚细胞定位
细胞膜
组织类型
FFPE
修复方式
HIER
稀释比
1:100-1:200
规格
100μl/vial, 1ml/vial
用途
RUO

Reference

1. Iwai Y., Okazaki T., Nishimura H., Kawasaki A., Yagita H.,Honjo T. Immunol. Lett. 83:215-220(2002).

2. James E.S., Harney S., Wordsworth B.P., Cookson W.O.,Davis S.J., Moffatt M.F. Genes Immun. 6:430-437(2005).

Support Documents

Contact Us

Address
浙江省杭州市滨江区滨安路688号天和高科技园区5号楼1303室
310052
Phone & Fax
+400-8769-741
+0571-88177680
Web & Mail

Follow Us

Scan QR Codes on Your Phone