产品中心

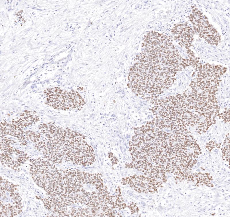
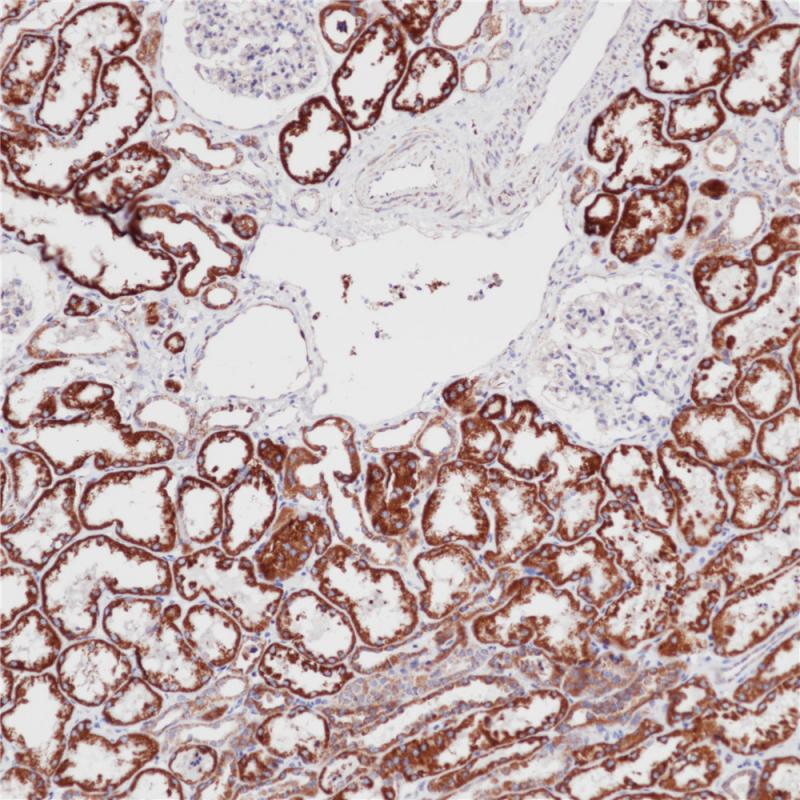
SDHB 重组兔单克隆抗体

琥珀酸脱氢酶 (Succinate dehydrogenase,SDH) 也称复合体 II 或琥珀酸:醌氧化还原酶,位于线粒体内膜,在三羧酸循环中可将琥珀酸转换成延胡索酸。SDH由4个亚基(A,B,C,D)组成,任何一个亚基发生突变将导致不稳定和复合体功能丧失。SDH各亚单位的突变均可导致SDHB蛋白缺失表达,故可用SDHB鉴定SDH缺陷型GIST。研究发现部分嗜铬细胞瘤(副节瘤)和肾细胞癌中存在SDHB突变。

Specifications

目录号
BX50182
克隆号
BP6160
阳性对照
亚细胞定位
细胞质
组织类型
FFPE
修复方式
HIER
稀释比
1:100-1:200
规格
100μl/vial, 1ml/vial
用途
RUO

Reference

1.Chang HC et al. Redox Biol 20:321-333 (2019).
2.Her YF et al. PLoS One 10:e0127471 (2015).

Support Documents

Contact Us

Address
浙江省杭州市滨江区滨安路688号天和高科技园区5号楼1303室
310052
Phone & Fax
+400-8769-741
+0571-88177680
Web & Mail

Follow Us

Scan QR Codes on Your Phone