首页
创新研发
产品中心
病理IHC整体解决方案
IVD一抗
LYNX310设备
LYNX480设备
免疫显色系统及辅助试剂
RUO试剂
液态细胞质控品
科研创新
科研目录抗体
技术服务
服务中心
资料下载
技术支持
关于我们
公司概况
新闻动态
荣誉资质
人才服务
联系我们
简体中文
简体中文
English
产品中心
病理IHC整体解决方案
科研创新
IVD一抗
LYNX310设备
LYNX480设备
免疫显色系统及辅助试剂
RUO试剂
液态细胞质控品
肝癌VEGF(BP6213)染色
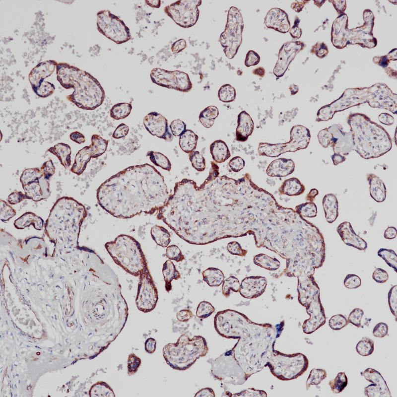
胎盘VEGF(BP6213)染色
相关产品
CD56
BP6156
Claudin 6
BP6274
CK5&6
BP6252
VEGF
重组兔单克隆抗体
血管内皮生长因子A (VEGF-A;原VEGF)属于VEGF/PDGF家族生长因子,在促进血管发育中发挥重要作用。VEGF-A有八个异构体,来自于VEGF-A基因编码的差异剪接mRNA变体。VEGF-A由多种细胞分泌,包括成纤维细胞、巨噬细胞和一些肿瘤细胞。VEGF-A与内皮细胞表面的同源受体(VEGFR2和VEGFR1)结合激活受体并启动下游信号,导致内皮细胞增殖、生存、迁移和血管通透性改变,所有这些都是血管生成的关键过程。
Specifications
目录号
BX50236
克隆号
BP6213
阳性对照
肝癌
亚细胞定位
细胞质
组织类型
FFPE
修复方式
HIER
稀释比
1:100-1:200
规格
100μl/vial, 1ml/vial
用途
RUO
Support Documents
Datesheet
Contact Us
Address
浙江省杭州市滨江区滨安路688号天和高科技园区5号楼1303室
310052
Phone & Fax
+400-8769-741
+0571-88177680
Web & Mail
[email protected]
Follow Us
Scan QR Codes on Your Phone