首页
创新研发
产品中心
病理IHC整体解决方案
IVD一抗
LYNX310设备
LYNX480设备
免疫显色系统及辅助试剂
RUO试剂
液态细胞质控品
科研创新
科研目录抗体
技术服务
服务中心
资料下载
技术支持
关于我们
公司概况
新闻动态
荣誉资质
人才服务
联系我们
简体中文
简体中文
English
产品中心
病理IHC整体解决方案
科研创新
IVD一抗
LYNX310设备
LYNX480设备
免疫显色系统及辅助试剂
RUO试剂
液态细胞质控品
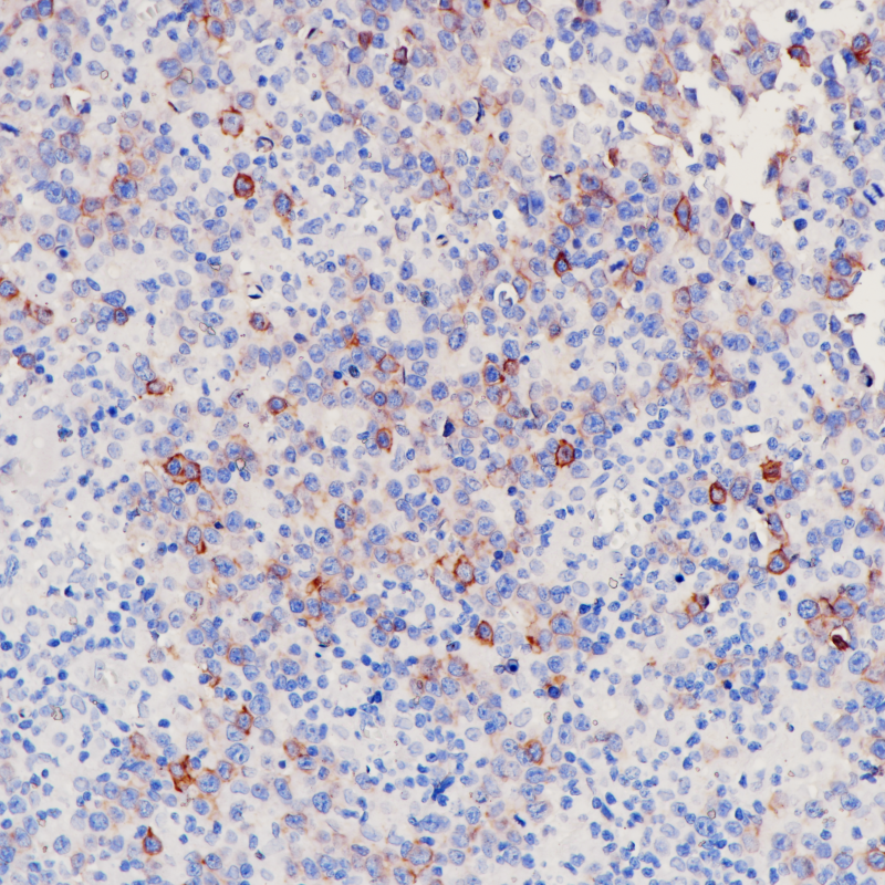
弥漫大B淋巴细胞瘤BCMA(BP6211)染色
结肠BCMA(BP6211)染色
相关产品
Carbonic Anhydrase 14
BP6314
MCM2
BP6220
Survivin
BP6259
BCMA
重组兔单克隆抗体
BCMA是肿瘤坏死因子受体超家族的一员。从结构上讲,BCMA由三个主要结构域组成:胞外段(氨基酸1-54,在8-21、24-37和28-41位置通过二硫键连接)、跨膜区(氨基酸55-77)和胞内段(氨基酸78-184)。BCMA是一个极其重要的B细胞生物标志物,广泛存在于MM细胞表面,是MM和其他血液系统恶性肿瘤的热门免疫治疗靶点。
Specifications
目录号
BX50234
克隆号
BP6211
阳性对照
弥漫大B淋巴细胞瘤
亚细胞定位
细胞膜
组织类型
FFPE
修复方式
HIER
稀释比
1:100-1:200
规格
100μl/vial, 1ml/vial
用途
RUO
Support Documents
Datesheet
Contact Us
Address
浙江省杭州市滨江区滨安路688号天和高科技园区5号楼1303室
310052
Phone & Fax
+400-8769-741
+0571-88177680
Web & Mail
[email protected]
Follow Us
Scan QR Codes on Your Phone