产品中心

IgG 重组兔单克隆抗体

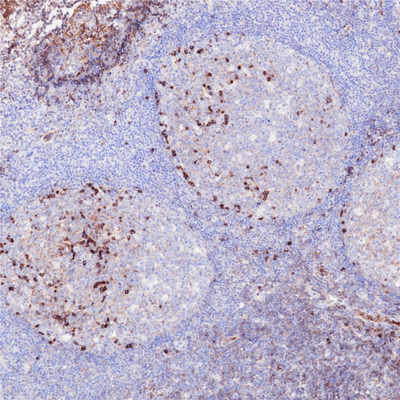
IgG可以与免疫球蛋白IgG的 γ 链反应,可用于淋巴瘤、浆细胞瘤和 B 细胞来源的霍奇金淋巴瘤的鉴别诊断,也可用于肾小球肾炎的功能性分类研究

Specifications

目录号
BX50183
克隆号
BP6161
阳性对照
扁桃体
亚细胞定位
细胞质
组织类型
FFPE
修复方式
HIER
稀释比
1:100-1:200
规格
100μl/vial, 1ml/vial
用途
RUO

Reference

1.Leong AS, et al., Geenwich Medical Media Ltd. 1999;217-219.
2.Ando K, et al. Intern Med. 2000; 39:170-5.

Support Documents

Contact Us

Address
浙江省杭州市滨江区滨安路688号天和高科技园区5号楼1303室
310052
Phone & Fax
+400-8769-741
+0571-88177680
Web & Mail

Follow Us

Scan QR Codes on Your Phone