产品中心

CA 125 重组兔单克隆抗体

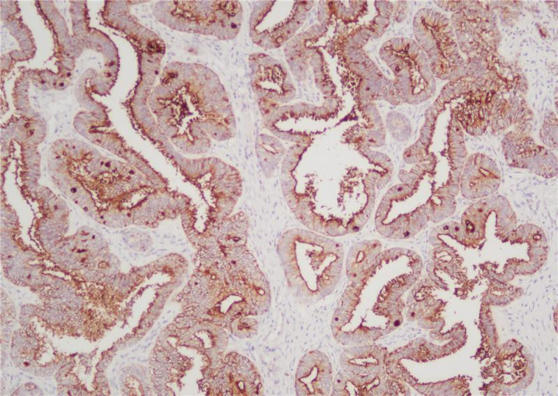
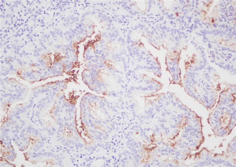
CA125(癌抗原125)也被称为粘蛋白16(mucin 16),属于粘蛋白家族糖蛋白。CA125与输卵管、子宫内膜、子宫颈内膜的正常组织和肿瘤及间皮瘤发生反应,与大肠癌不发生反应,正常的组织如乳房,肝脏,皮肤,肾脏和脾脏也是阴性反应。该抗体有助于对各种肿瘤的分类,如:结肠癌、乳腺癌、恶性间皮瘤、子宫腺瘤样瘤、肺支气管肺泡癌、卵巢子宫内膜样腺癌和浆液性癌。

Specifications

目录号
BX50009
克隆号
BP6014
阳性对照
浆液性卵巢癌
亚细胞定位
细胞膜
组织类型
FFPE
修复方式
HIER
稀释比
1:100-1:200
规格
100μl/vial, 1ml/vial
用途
RUO

Reference

1.Prat A., et al. Ann Oncol. 2008 Feb;19(2):327-31.

2.Tornos C., et al. Am J Surg Pathol. 2005 Nov;29(11):1482-9.

Support Documents

Contact Us

Address
浙江省杭州市滨江区滨安路688号天和高科技园区5号楼1303室
310052
Phone & Fax
+400-8769-741
+0571-88177680
Web & Mail

Follow Us

Scan QR Codes on Your Phone