产品中心

Cytokeratin 7 重组兔单克隆抗体

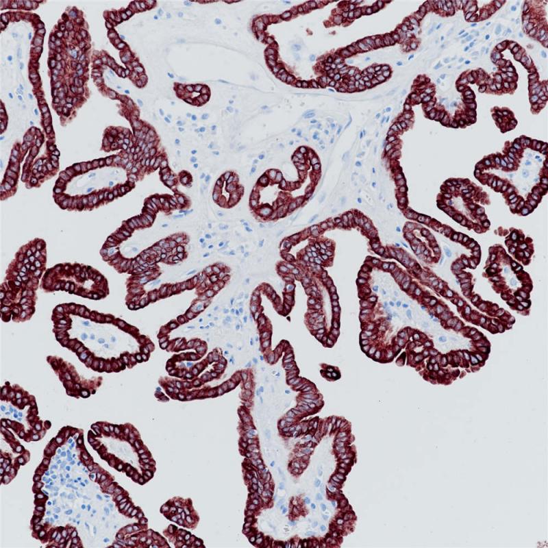
CK7是一种由KRT7基因编码合成的蛋白,通常和CK19成对出现。CK7在腺上皮和导管上皮中表达,如肺、乳腺、膀胱等,而在大部分消化道上皮、前列腺、肝细胞以及鳞状上皮中染色阴性。肿瘤组织中,大肠癌、前列腺癌以及鳞状上皮癌表现为CK7-。在临床上,CK7通常与CK20以及CDX-2一起用于卵巢癌、肺癌、乳腺癌(CK7+)以及大肠癌(CK7-)的诊断。

Specifications

目录号
BX50055
克隆号
BP6060
阳性对照
乳腺癌
亚细胞定位
细胞质
组织类型
FFPE
修复方式
HIER
稀释比
1:100-1:200
规格
100μl/vial, 1ml/vial
用途
RUO

Reference

1.Moll R, et al. Histochem Cell Biol. 2008 Jun;129(6):705-33.
2.Moll R, et al. Cell. 1982 Nov;31(1):11-24.

Support Documents

Contact Us

Address
浙江省杭州市滨江区滨安路688号天和高科技园区5号楼1303室
310052
Phone & Fax
+400-8769-741
+0571-88177680
Web & Mail

Follow Us

Scan QR Codes on Your Phone