产品中心

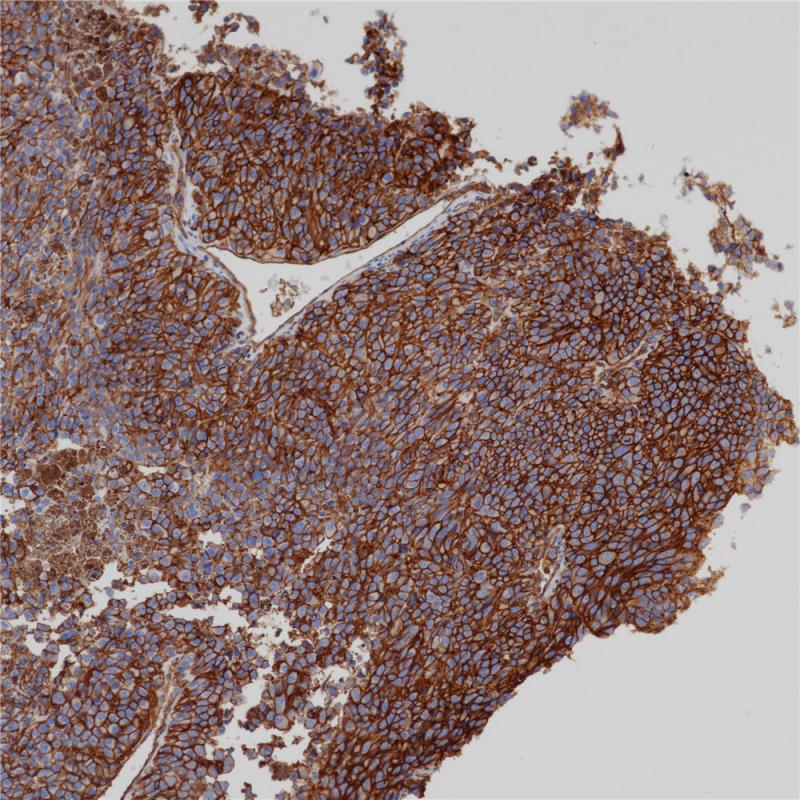
CD146 重组兔单克隆抗体

CD146又称黑色素瘤细胞黏附分子,可介导细胞之间以及细胞与基质间的相互作用,在血管内皮细胞、激活 T 淋巴细胞、平滑肌和骨髓间质细胞等中表达。CD146除在黑色素瘤中表达外,还表达于多种组织和肿瘤。同时,可与其他抗体联合,用于妊娠滋养细胞疾病的诊断。

Specifications

目录号
BX50184
克隆号
BP6162
阳性对照
黑色素瘤
亚细胞定位
细胞膜
组织类型
FFPE
修复方式
HIER
稀释比
1:100-1:200
规格
100μl/vial, 1ml/vial
用途
RUO

Reference

1.Shih, I.M. (1999) J Pathol 189, 4-11.                                                                                                                                                                                                             2.Wang, P. et al. (2013) Mol Cell Biol 33, 3689-99.

Support Documents

Contact Us

Address
浙江省杭州市滨江区滨安路688号天和高科技园区5号楼1303室
310052
Phone & Fax
+400-8769-741
+0571-88177680
Web & Mail

Follow Us

Scan QR Codes on Your Phone