产品中心

Estrogen Receptor α 重组兔单克隆抗体

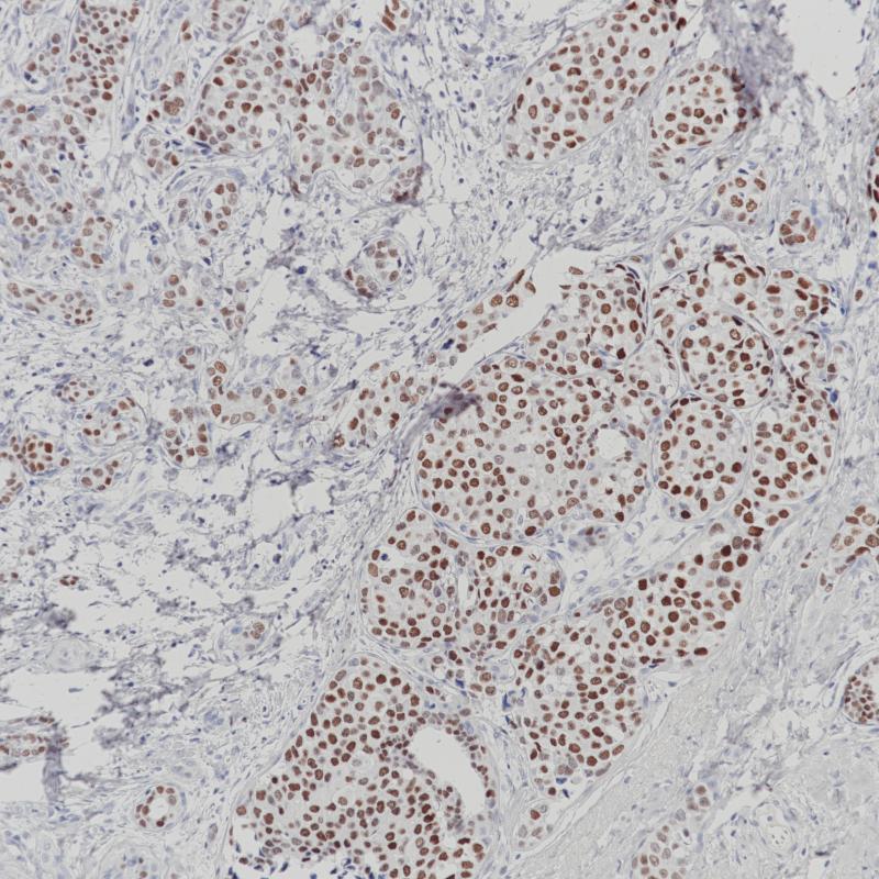
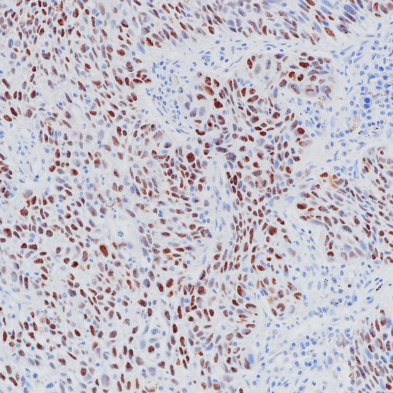
雌激素受体(ER)属于核受体超家族的类固醇受体,由553个氨基酸组成。雌激素受体分子具有三个结构域,即DNA结合中央结构域,C末端的激素结合结构域和N末端的转录激活结构域。ER参与女性性激素的调节功能,主要是17(E2),在一些目标组织的生长、分化和功能方面,如女性和男性生殖道,乳腺,骨骼和心血管系统。ER α存在于正常乳腺和子宫内膜组织的上皮细胞的细胞核,以及乳腺癌的亚型中。其次, ER α可作为一个肿瘤标志物,与抗孕酮受体的抗体组合,可用于腺癌的分类。

Specifications

目录号
BX50135
克隆号
BP6139
阳性对照
乳腺癌
亚细胞定位
细胞核
组织类型
FFPE
修复方式
HIER
稀释比
1:100-1:200
规格
100μl/vial, 1ml/vial
用途
RUO

Reference

1.Stein B, et.al, Mol Cell Biol. 1995 Sep;15(9):4971-9.
2.Saville B, et.al,J Biol Chem. 2000 Feb 25;275(8):5379-87.

Support Documents

Contact Us

Address
浙江省杭州市滨江区滨安路688号天和高科技园区5号楼1303室
310052
Phone & Fax
+400-8769-741
+0571-88177680
Web & Mail

Follow Us

Scan QR Codes on Your Phone