产品中心

Beta-Catenin 重组兔单克隆抗体

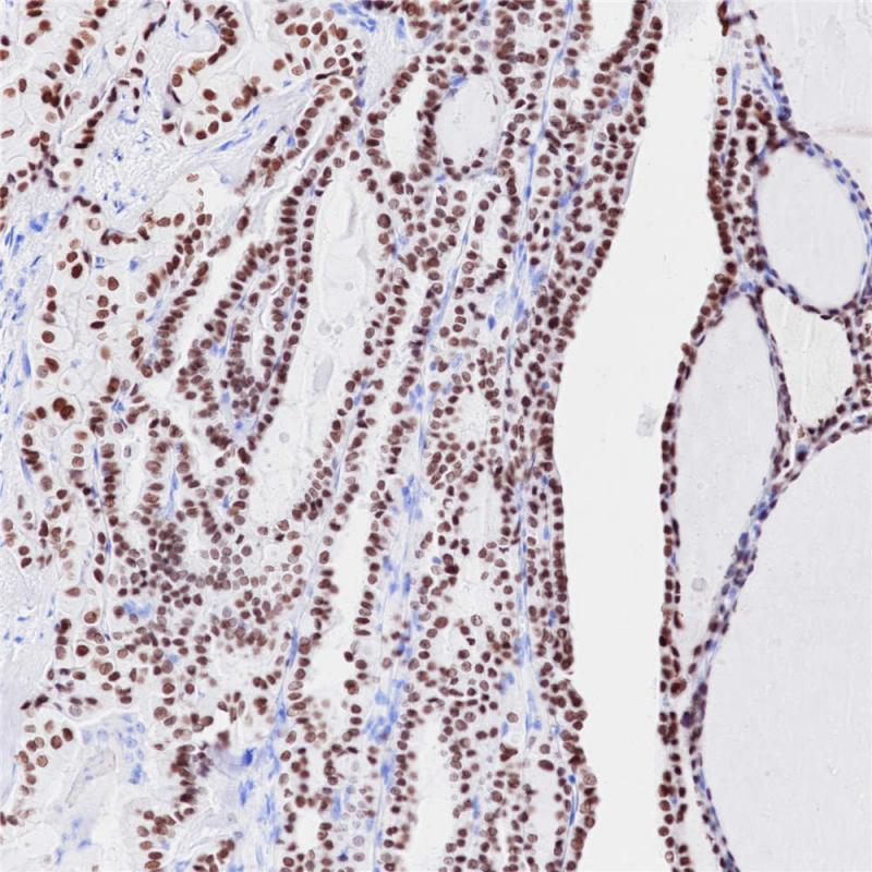
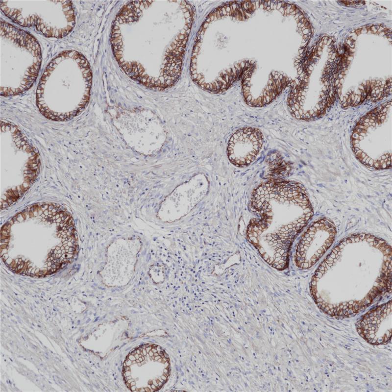
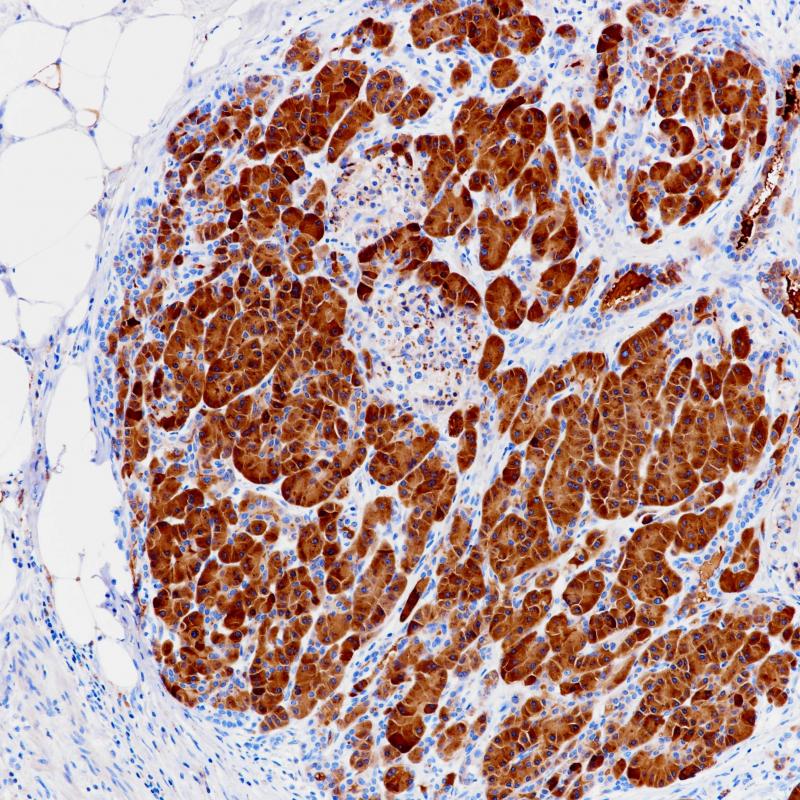
Catenin 是一种分子量为92 kDa细胞骨架蛋白,有α、β、γ三种亚型,与 Wnt 信号传导及细胞粘附机制相关。该抗体可用于鉴别原发性卵巢子宫内膜样癌/卵巢浆液性癌和转移性结肠癌,也可用于间叶性肿瘤、胰腺实性-假乳头状肿瘤的诊断。

Specifications

目录号
BX50181
克隆号
BP6159
阳性对照
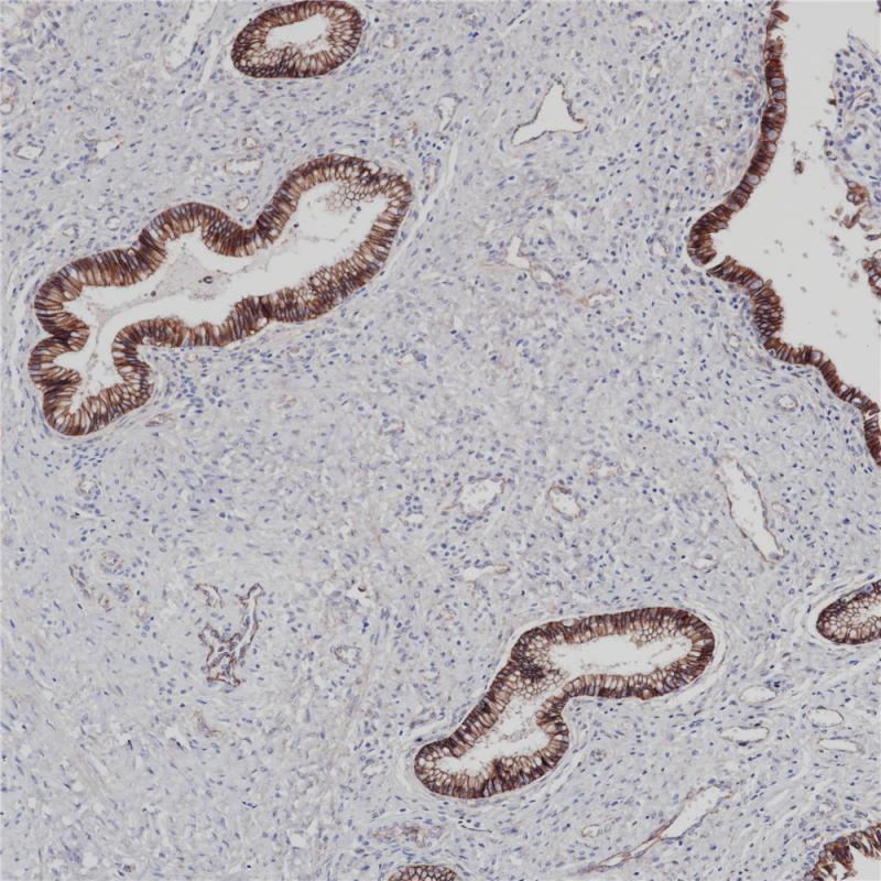
前列腺
亚细胞定位
细胞质/细胞核/细胞膜
组织类型
FFPE
修复方式
HIER
稀释比
1:100-1:200
规格
100μl/vial, 1ml/vial
用途
RUO

Reference

1.Li XG et al. Toxicol Lett 305:19-31 (2019).                                                                                                                                                                                                  2.Xu H et al. Oncol Rep 41:1180-1188 (2019).

Support Documents

Contact Us

Address
浙江省杭州市滨江区滨安路688号天和高科技园区5号楼1303室
310052
Phone & Fax
+400-8769-741
+0571-88177680
Web & Mail

Follow Us

Scan QR Codes on Your Phone