产品中心

Lambda Light Chains 重组兔单克隆抗体

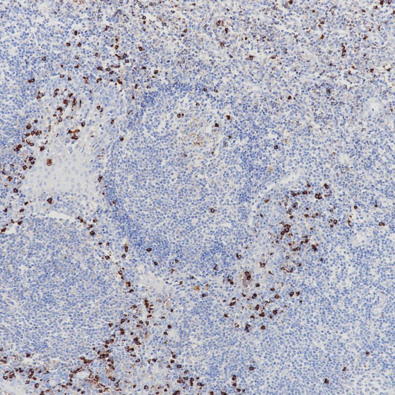
Lambda可标记带有λ轻链的B淋巴细胞、浆细胞和免疫母细胞。该抗体主要用于白血病、浆细胞瘤和某些非霍奇金淋巴瘤的诊断。

Specifications

目录号
BX50129
克隆号
BP6133
阳性对照
扁桃体
亚细胞定位
细胞质
组织类型
FFPE
修复方式
HIER
稀释比
1:100-1:200
规格
100μl/vial, 1ml/vial
用途
RUO

Reference

1.Kremer M, et al. Virchows Arch. 2005 Dec; 447(6):920-37.
2.Marshall-Taylor CE, et al. Appl Immunohistochem MolMorphol. 2002 Sep; 10(3):258-62.

Support Documents

Contact Us

Address
浙江省杭州市滨江区滨安路688号天和高科技园区5号楼1303室
310052
Phone & Fax
+400-8769-741
+0571-88177680
Web & Mail

Follow Us

Scan QR Codes on Your Phone