产品中心

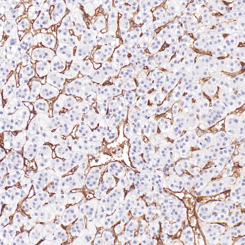
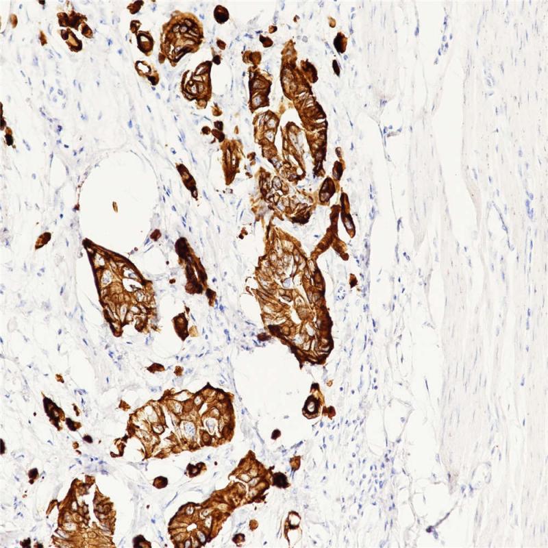
Cytokeratin 20 重组兔单克隆抗体

CK20是一种具有限制表达模式的单层上皮角蛋白,其II型配对通常为CK8。CK20在正常组织表达于胃小凹上皮、大小结肠上皮、膀胱上皮、一些神经内分泌细胞以及Merkel细胞。肿瘤组织中,CK20表达于结肠腺癌,胃腺癌,胰腺癌,胆管癌,卵巢粘液腺癌,尿路上皮癌以及Merkel细胞癌。CK20通常与CK7及其他抗体联合表达,用于区分结肠癌(CK20+)和卵巢癌,肺癌及乳腺癌。

Specifications

目录号
BX50025
克隆号
BP6030
阳性对照
结肠腺癌
亚细胞定位
细胞质
组织类型
FFPE
修复方式
HIER
稀释比
1:100-1:200
规格
100μl/vial, 1ml/vial
用途
RUO

Reference

1.Scott MP, et.al, Am J Dermatopathol. 1999. Feb;21(1):16-20.
2.Moll R, et.al, Am J Pathol. 1992 Feb;140(2):427-47.

Support Documents

Contact Us

Address
浙江省杭州市滨江区滨安路688号天和高科技园区5号楼1303室
310052
Phone & Fax
+400-8769-741
+0571-88177680
Web & Mail

Follow Us

Scan QR Codes on Your Phone