产品中心

Type I Cytokeratins 重组兔单克隆抗体

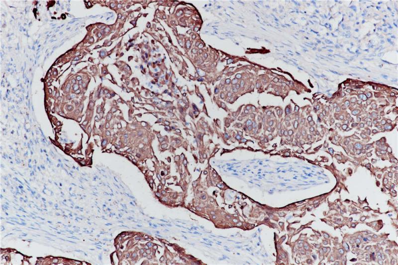
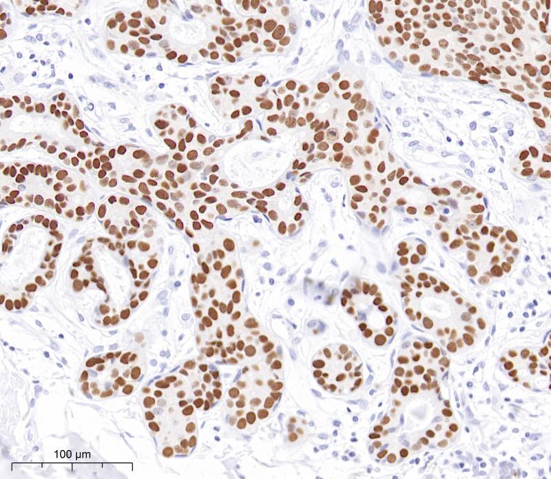
角化蛋白是一种典型的上皮中间纤维蛋白,显示出显著的分子多样性。杂聚纤维是由I型和II型分子配对形成的。在人类中存在54个功能性角蛋白基因。它们在上皮细胞和细胞分化阶段表示出高度特异性地表达。这种抗体可以检测高分子量的CK10、CK14、CK15和CK16,以及低分子量的CK19。它通常和II型细胞角蛋白抗体形成细胞角蛋白鸡尾酒使用。

Specifications

目录号
BX50046
克隆号
BP6051
阳性对照
宫颈癌
亚细胞定位
细胞质
组织类型
FFPE
修复方式
HIER
稀释比
1:100-1:200
规格
100μl/vial, 1ml/vial
用途
RUO

Reference

1.Spagnolo DV, et al. Am J Clin Pathol. 1985 Dec;84(6):697-704.
2.Eichner R, et al. J Cell Biol. 1984 Apr;98(4):1388-96.

Support Documents

Contact Us

Address
浙江省杭州市滨江区滨安路688号天和高科技园区5号楼1303室
310052
Phone & Fax
+400-8769-741
+0571-88177680
Web & Mail

Follow Us

Scan QR Codes on Your Phone