产品中心

Mesothelin 重组兔单克隆抗体

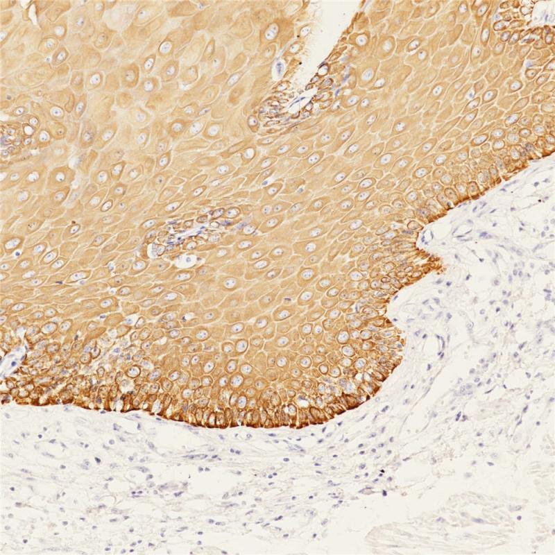
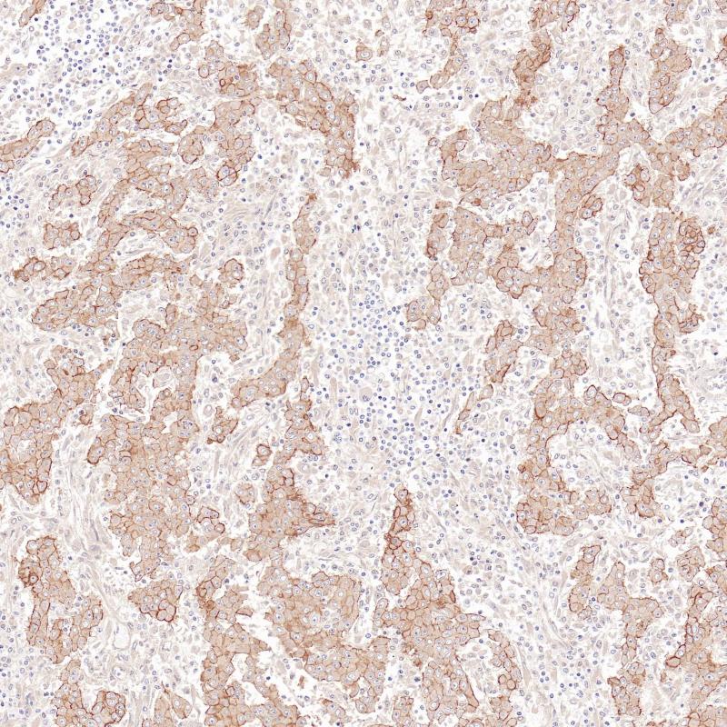
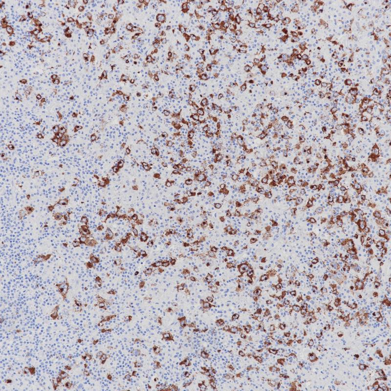
间皮素是间皮细胞表面的糖蛋白,分子量为40kDa。间皮素的表达主要局限于正常胸膜、心包和腹膜的间皮细胞,在一些癌症中过表达,包括间皮瘤、胰腺和卵巢腺癌。间皮素在临床上有许多应用,如用于肿瘤治疗的疫苗和肿瘤特异性免疫治疗的靶点。

Specifications

目录号
BX50325
克隆号
BP6302
阳性对照
间皮瘤
亚细胞定位
细胞膜,细胞质
组织类型
FFPE
修复方式
HIER
稀释比
1:100-1:200
规格
100μl/vial, 1ml/vial
用途
RUO

Reference

1. Paolo, B. (2017) OncoTargets and Therapy, 10: 5337-5353.
2. Pastan, I. (2014) Cancer Res 74, 2907-12.

Support Documents

Contact Us

Address
浙江省杭州市滨江区滨安路688号天和高科技园区5号楼1303室
310052
Phone & Fax
+400-8769-741
+0571-88177680
Web & Mail

Follow Us

Scan QR Codes on Your Phone