产品中心

Podoplanin 重组兔单克隆抗体

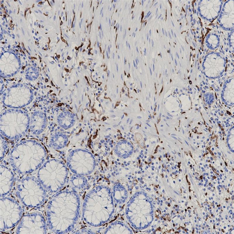
Podoplanin主要表达于淋巴管内皮细胞、胎儿睾丸组织和睾丸生殖细胞肿瘤中,而在微血管内皮中无表达。该抗体是正常和肿瘤组织中淋巴管内皮的一种新的标记物,可与内皮细胞标记联合应用于淋巴管内皮源性肿瘤的诊断。

Specifications

目录号
BX50105
克隆号
BP6110
阳性对照
亚细胞定位
细胞膜
组织类型
FFPE
修复方式
HIER
稀释比
1:100-1:200
规格
100μl/vial, 1ml/vial
用途
RUO

Reference

1.Bassarova AV, Am J Surg Pathol. 2006 Jul;30(7):878-82.
2.Biermann K, Histopathology. 2006 Sep;49(3):290-7.

Support Documents

Contact Us

Address
浙江省杭州市滨江区滨安路688号天和高科技园区5号楼1303室
310052
Phone & Fax
+400-8769-741
+0571-88177680
Web & Mail

Follow Us

Scan QR Codes on Your Phone