产品中心

CD31 重组兔单克隆抗体

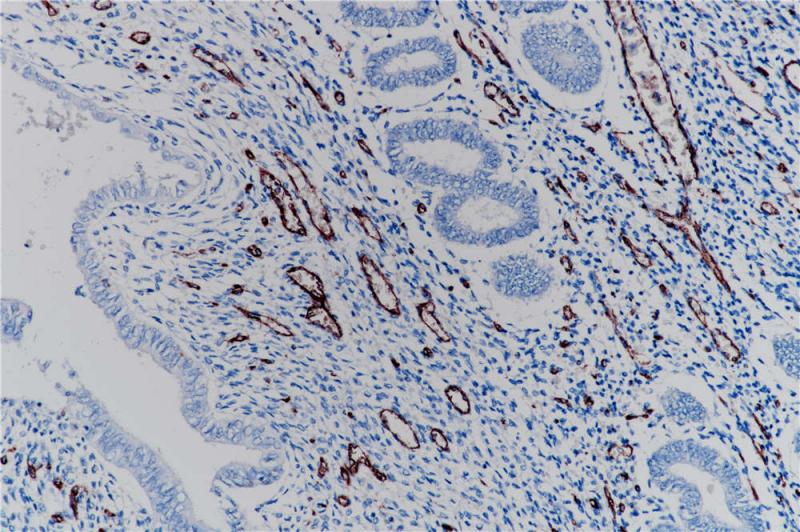
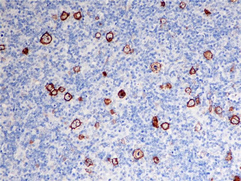
CD31,又称为PECAM-1(血小板内皮细胞粘附分子1),是一种跨膜糖蛋白,属于免疫球蛋白超家族,对血小板的粘附和聚集起重要作用。CD31存在于血小板、单核细胞、巨噬细胞和中性粒细胞的表面,是内皮细胞间接合处的一个组成部分。CD31通常被认为是石蜡切片中最敏感和特殊的内皮标记物,是良性肿瘤和恶性血管瘤的最好标记物之一。

Specifications

目录号
BX50032
克隆号
BP6037
阳性对照
胎盘
亚细胞定位
细胞膜
组织类型
FFPE
修复方式
HIER
稀释比
1:100-1:200
规格
100μl/vial, 1ml/vial
用途
RUO

Reference

1.Feng YM, et.al, Eur Rev Med Pharmacol Sci. 2016 Oct;20(19).
2.Pusztaszeri MP, et.al, J Histochem Cytochem. 2006 Apr;54(4):385-95. 

Support Documents

Contact Us

Address
浙江省杭州市滨江区滨安路688号天和高科技园区5号楼1303室
310052
Phone & Fax
+400-8769-741
+0571-88177680
Web & Mail

Follow Us

Scan QR Codes on Your Phone