产品中心

PAX-2 重组兔单克隆抗体

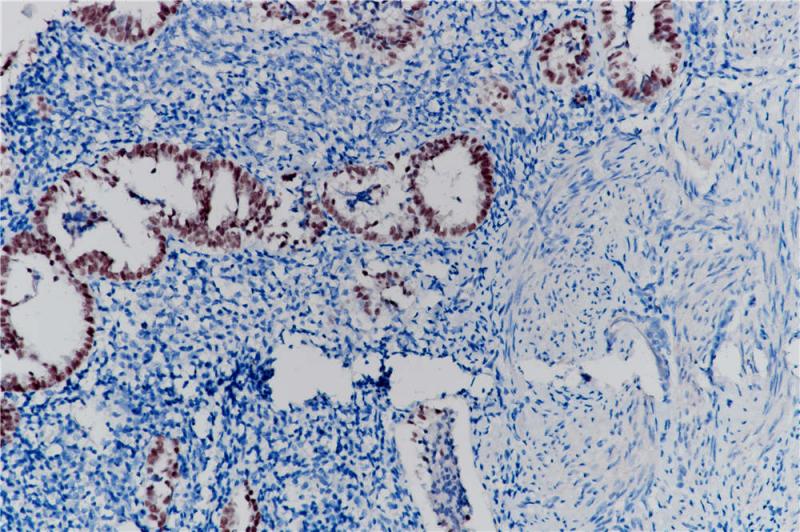
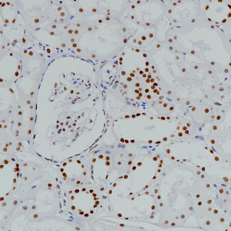
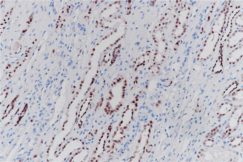
PAX-2是PAX转录因子家族成员之一,与PAX-8一起参与肾脏器官的形成。在非肿瘤组织中,PAX-2表达于肾小球壁上皮细胞,肾集合管细胞,萎缩的肾小管细胞,卵巢表层上皮细胞,输卵管,子宫颈内膜,子宫内膜。在原发性肿瘤中,PAX-2主要出现于肾细胞癌,肾原性肿瘤。近来的调查表明,PAX-2可作为有效的免疫组织化学标记物,有助于诊断肾上皮细胞瘤以及一些妇科肿瘤。

Specifications

目录号
BX50039
克隆号
BP6044
阳性对照
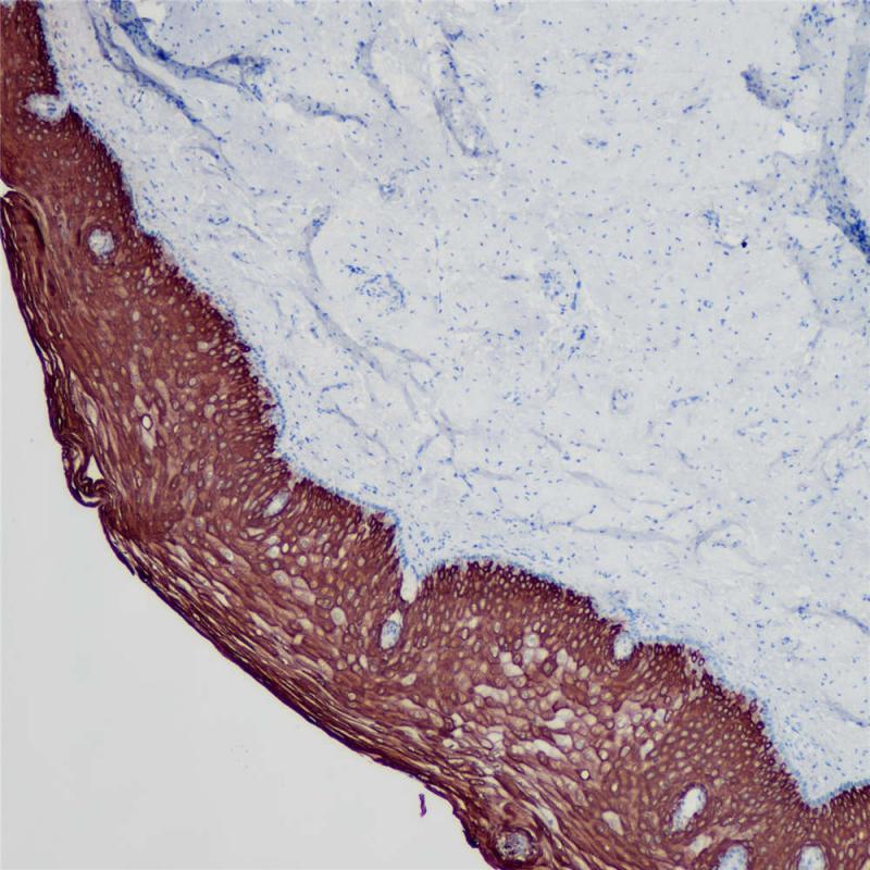
亚细胞定位
细胞核
组织类型
FFPE
修复方式
HIER
稀释比
1:100-1:200
规格
100μl/vial, 1ml/vial
用途
RUO

Reference

1.Zhai QJ, et.al, Appl Immunohistochem Mol Morphol. 2010 Jul;18(4):323-32.
2.Ordóñez NG, et.al, Adv Anat Pathol. 2012 Nov;19(6):401-9. 

Support Documents

Contact Us

Address
浙江省杭州市滨江区滨安路688号天和高科技园区5号楼1303室
310052
Phone & Fax
+400-8769-741
+0571-88177680
Web & Mail

Follow Us

Scan QR Codes on Your Phone