产品中心

Napsin A 重组兔单克隆抗体

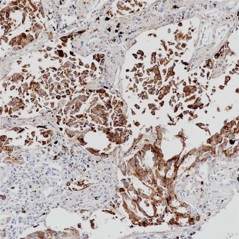
Napsin A是一种含有420个氨基酸的胃蛋白酶样天冬氨酸蛋白酶,主要在肺和肾中表达。 在肺中,Napsin A在由TTF-1调节的II型肺泡细胞中表达,并参与生成表面活性蛋白B。肺泡内巨噬细胞含有Napsin A,这是吞噬作用的结果。 在肾脏中,Napsin A在近曲小管中表达,参与溶酶体蛋白质的分解代谢。 Napsin A在肺腺癌与鳞状细胞癌的鉴别诊断中非常重要,常与TTF-1,CK5和p63联用。 对于未知来源的腺癌,NapA和TTF1可辅助鉴别肺起源,NapA和PAX 8辅助鉴别肾起源。

Specifications

目录号
BX50078
克隆号
BP6083
阳性对照
肺腺癌
亚细胞定位
细胞质
组织类型
FFPE
修复方式
HIER
稀释比
1:100-1:200
规格
100μl/vial, 1ml/vial
用途
RUO

Reference

1.Agackiran Y, Ozcan A, Akyurek N, Memis L. Appl Immunohistochem Mol Morphol. 2012 Jul;20(4):350-5. 
2.Chernock RD, El-Mofty SK, Becker N, Lewis JS Jr. Am J Surg Pathol. 2013 May 15. 

Support Documents

Contact Us

Address
浙江省杭州市滨江区滨安路688号天和高科技园区5号楼1303室
310052
Phone & Fax
+400-8769-741
+0571-88177680
Web & Mail

Follow Us

Scan QR Codes on Your Phone