首页
创新研发
产品中心
病理IHC整体解决方案
IVD一抗
LYNX310设备
LYNX480设备
免疫显色系统及辅助试剂
RUO试剂
液态细胞质控品
科研创新
科研目录抗体
技术服务
服务中心
资料下载
技术支持
关于我们
公司概况
新闻动态
荣誉资质
人才服务
联系我们
简体中文
简体中文
English
产品中心
病理IHC整体解决方案
科研创新
IVD一抗
LYNX310设备
LYNX480设备
免疫显色系统及辅助试剂
RUO试剂
液态细胞质控品
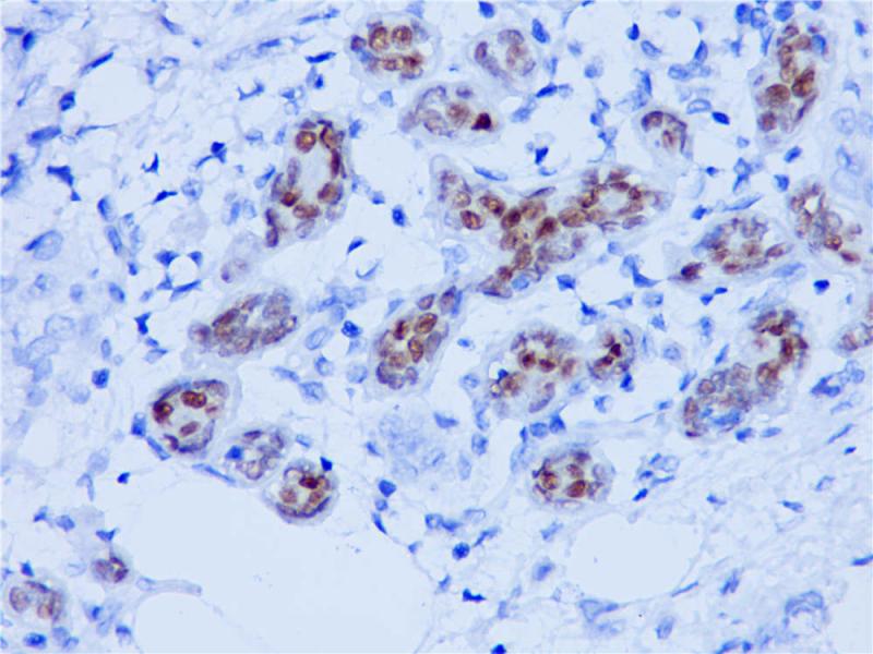
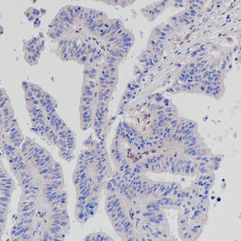
胰腺导管癌 正常表达部位SMAD4(BP6219)染色
胰腺导管癌 肿瘤细胞缺失表达部位SMAD4(BP6219)染色
相关产品
NKX2.2
BP6292
SOX10
BP6024
OCT-3/4
BP6282
SMAD4
重组兔单克隆抗体
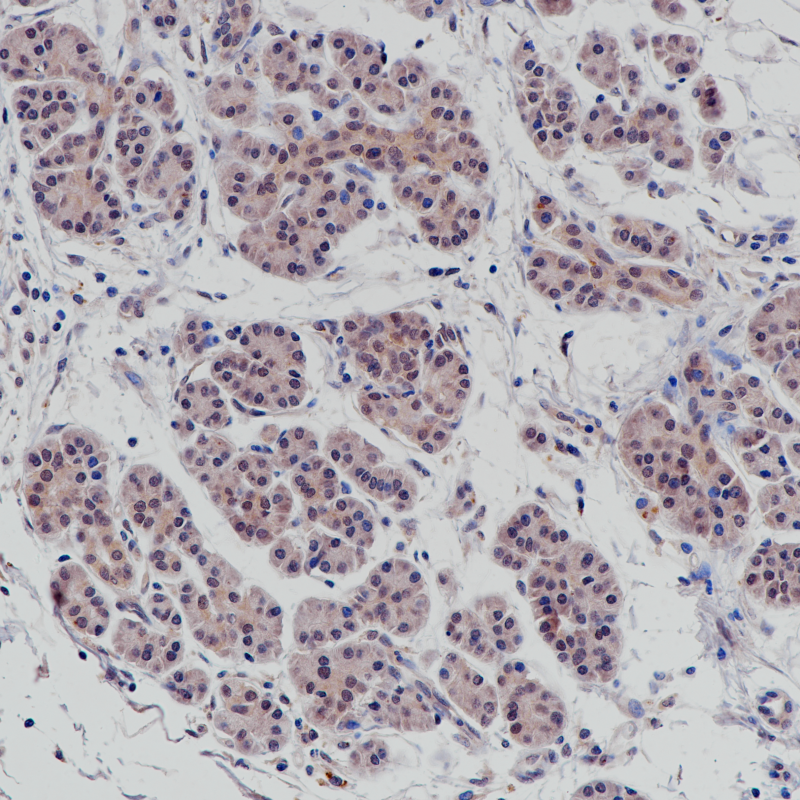
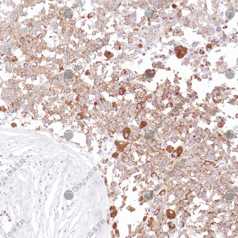
SMAD 4与SMAD1和YY1在骨形态发生蛋白(BMP)介导的心脏特异性基因表达中起协同作用。它是在细胞核中形成的异质三聚体SMAD2-SMAD3-SMAD4复合物的组成部分,是TGF介导的信号通路所必需的,并促进SMAD2/SMAD4/FAST-1复合物与DNA的结合。SMAD 4在大多数组织中呈细胞质和核表达。SMAD 4基因的改变最初是在胰腺癌(导管腺癌)中发现的,但也出现在各种癌症中,如结直肠癌、胃癌、前列腺癌、黑色素瘤、头颈部癌和许多其他癌症中。
Specifications
目录号
BX50242
克隆号
BP6219
阳性对照
胰腺导管癌
亚细胞定位
细胞核/细胞质
组织类型
FFPE
修复方式
HIER
稀释比
1:100-1:200
规格
100μl/vial, 1ml/vial
用途
RUO
Support Documents
Datesheet
Contact Us
Address
浙江省杭州市滨江区滨安路688号天和高科技园区5号楼1303室
310052
Phone & Fax
+400-8769-741
+0571-88177680
Web & Mail
[email protected]
Follow Us
Scan QR Codes on Your Phone