产品中心

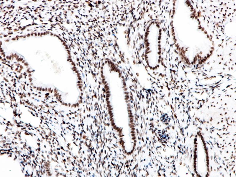
MSH6 重组兔单克隆抗体

MSH6是一种错配修复蛋白,在大部分微卫星不稳定(MSI-H)患者中是缺陷的;此外,MSH6在某些恶性肿瘤中也是缺陷的,如遗传性非息肉病性结、直肠癌(HNPCC)和子宫内膜癌。所有增殖细胞中均表达MSH6,其参与了DNA复制过程中的碱基错配修复。MSH6通常与MLH1、MSH2和PMS2组合检测,有助于识别发生微卫星不稳定(MSI)可能的相关基因。

Specifications

目录号
BX50003
克隆号
BP6007
阳性对照
结肠
亚细胞定位
细胞核
组织类型
FFPE
修复方式
HIER
稀释比
1:100-1:200
规格
100μl/vial, 1ml/vial
用途
RUO

Reference

1.Blackwell LJ., et al. J Biol Chem. 1998 Nov27;273(48):32055-62.
2.Iaccarino I., et al. EMBO J. 1998 May 1;17(9):2677-86.

Support Documents

Contact Us

Address
浙江省杭州市滨江区滨安路688号天和高科技园区5号楼1303室
310052
Phone & Fax
+400-8769-741
+0571-88177680
Web & Mail

Follow Us

Scan QR Codes on Your Phone