产品中心

CD2 重组兔单克隆抗体

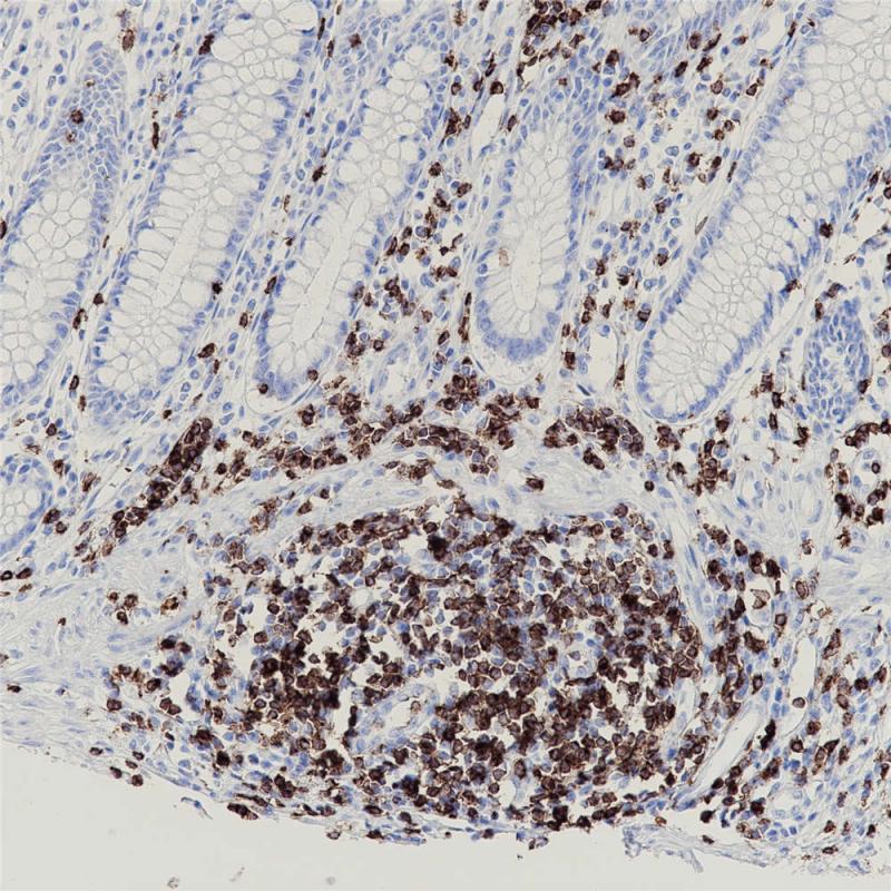
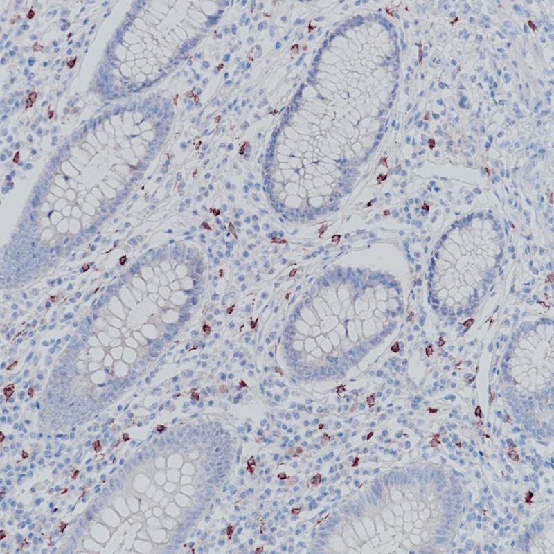
CD2主要存在于成熟的T细胞和NK细胞膜表面, 而B细胞通常不表达,可标记正常T细胞及其相关肿瘤,如前T细胞淋巴瘤、边缘T细胞淋巴瘤和间变大细胞淋巴瘤的诊断与研究。

Specifications

目录号
BX50102
克隆号
BP6107
阳性对照
T细胞淋巴瘤
亚细胞定位
细胞膜
组织类型
FFPE
修复方式
HIER
稀释比
1:100-1:200
规格
100μl/vial, 1ml/vial
用途
RUO

Reference

1.Companioni Nápoles O, et al. J Gastroenterol 52:39-49 (2017).
2. DE Sanctis V, Belgioia L, et al. ANTICANCER RESEARCH 39: 1935-1942 (2019).

Support Documents

Contact Us

Address
浙江省杭州市滨江区滨安路688号天和高科技园区5号楼1303室
310052
Phone & Fax
+400-8769-741
+0571-88177680
Web & Mail

Follow Us

Scan QR Codes on Your Phone