首页
创新研发
产品中心
病理IHC整体解决方案
IVD一抗
LYNX310设备
LYNX480设备
免疫显色系统及辅助试剂
RUO试剂
液态细胞质控品
科研创新
科研目录抗体
技术服务
服务中心
资料下载
技术支持
关于我们
公司概况
新闻动态
荣誉资质
人才服务
联系我们
简体中文
简体中文
English
产品中心
病理IHC整体解决方案
科研创新
IVD一抗
LYNX310设备
LYNX480设备
免疫显色系统及辅助试剂
RUO试剂
液态细胞质控品
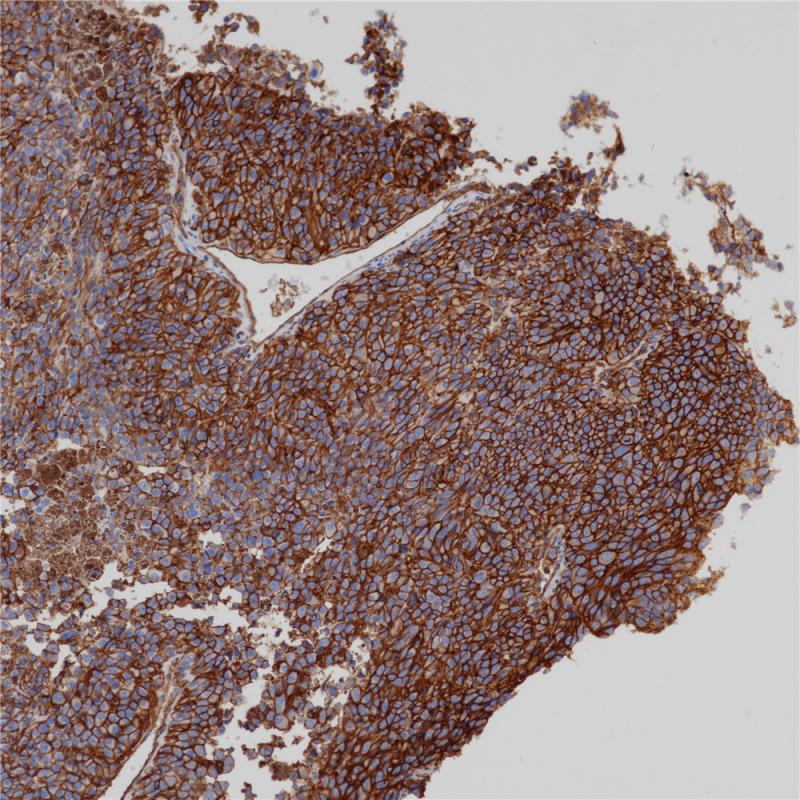
扁桃体MHCⅠ(BP6234)染色
宫颈MHCⅠ(BP6234)染色
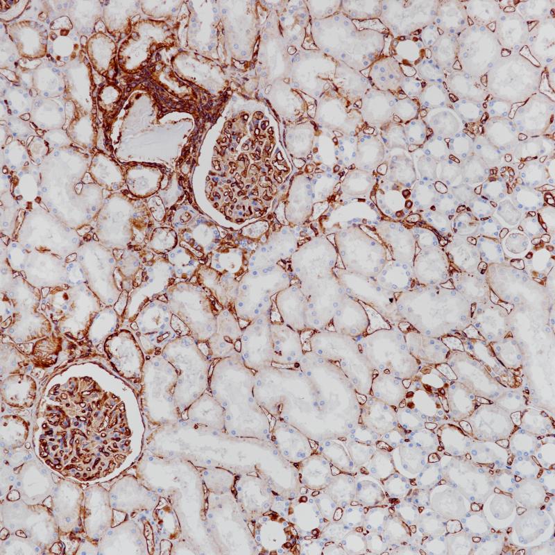
肾MHCⅠ(BP6234)染色
相关产品
Bcl-6
BP6261
Chromogranin A
BP6129
Estrogen Receptor α
BP6139
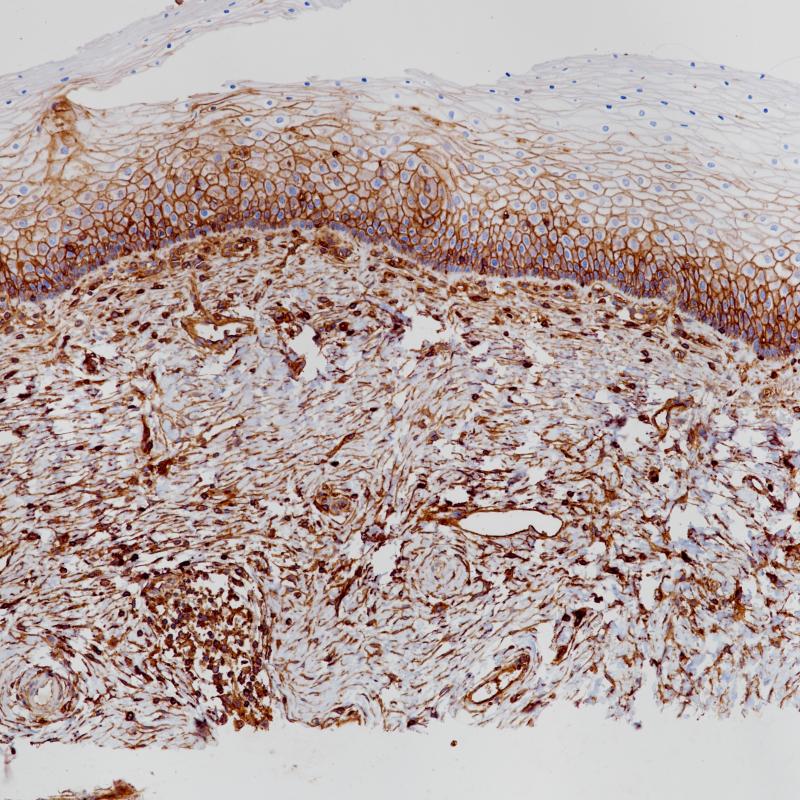
MHCⅠ
重组兔单克隆抗体
主要组织相容性复合体(MHC)是染色体上由紧密连接的高度多态的基因位点组成的遗传区域。MHC分为Ⅰ类、Ⅱ类和Ⅲ类基因区域。MHCⅠ广泛分布于几乎所有有核细胞的表面,包括正常组织中的脾脏、淋巴结、胸腺淋巴细胞、皮肤、肺、肾、肝和心脏和肿瘤组织。MHC Ⅰ分子分型与器官移植与骨髓移植的匹配,以及多种自身免疫性疾病相关。
Specifications
目录号
BX50257
克隆号
BP6234
阳性对照
肾
亚细胞定位
细胞膜
组织类型
FFPE
修复方式
HIER
稀释比
1:100-1:200
规格
100μl/vial, 1ml/vial
用途
RUO
Support Documents
Datesheet
Contact Us
Address
浙江省杭州市滨江区滨安路688号天和高科技园区5号楼1303室
310052
Phone & Fax
+400-8769-741
+0571-88177680
Web & Mail
[email protected]
Follow Us
Scan QR Codes on Your Phone