产品中心

CD1a 重组兔单克隆抗体

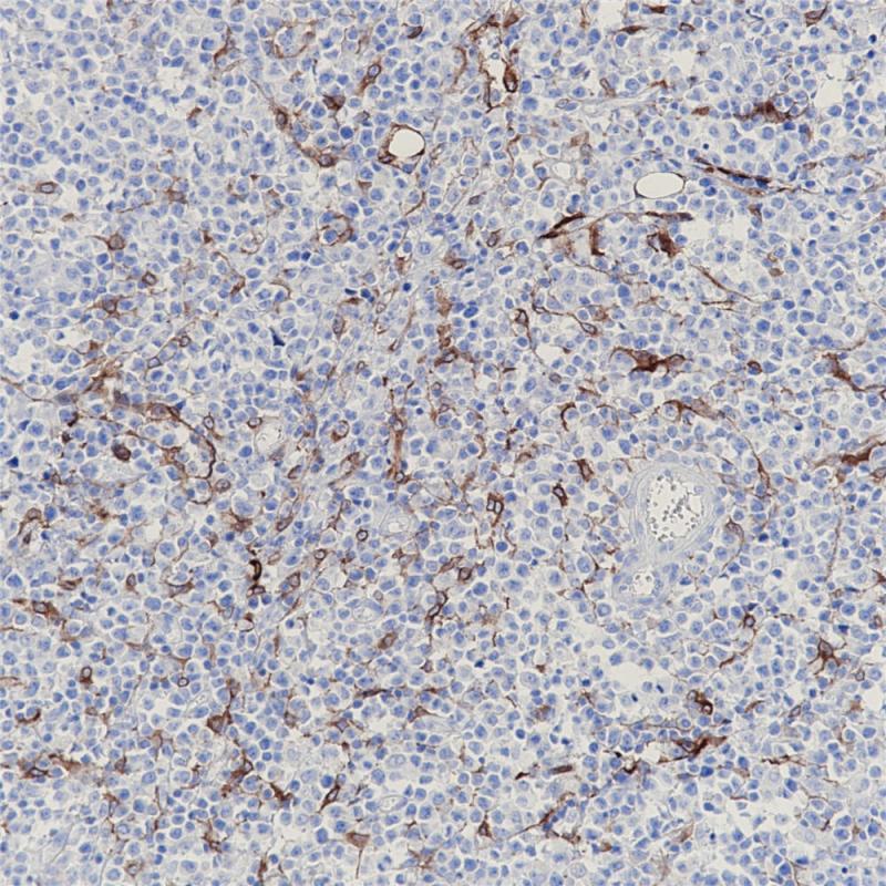
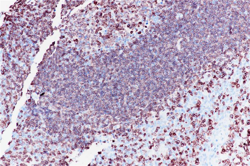
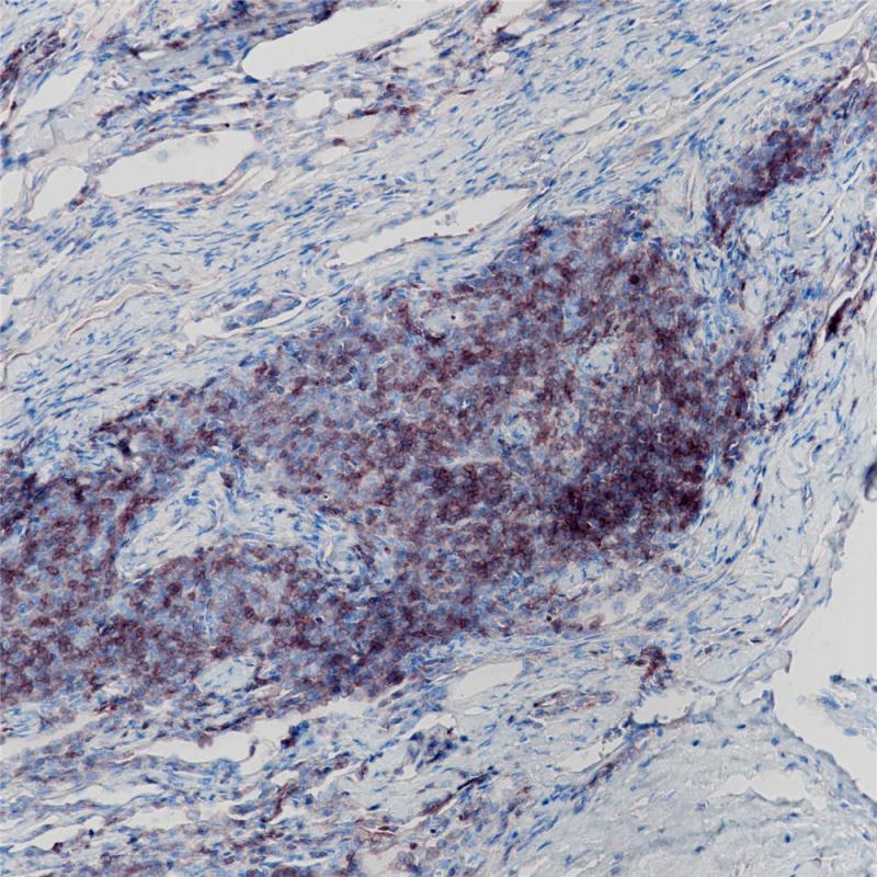
CD1a是CD1蛋白(CD1a、CD1b和CD1c)家族成员,它们具有向T细胞呈递微生物脂质抗原的能力。CD1a主要在朗格汉斯细胞(LCs)中表达,特定条件下可以在T细胞中表达。未成熟的胸腺细胞和肿瘤中的一些T细胞都表达CD1a,如前淋巴母细胞淋巴瘤/白血病和滤泡树突状细胞肉瘤。CD1a在LCH(朗格汉斯组织细胞增生症)的致病性LCs(朗格汉斯细胞)中的表达被认为是该疾病的一个标志,可能作为未来炎症性皮肤疾病治疗方案的潜在靶标。

Specifications

目录号
BX50050
克隆号
BP6055
阳性对照
胸腺瘤
亚细胞定位
细胞膜
组织类型
FFPE
修复方式
HIER
稀释比
1:100-1:200
规格
100μl/vial, 1ml/vial
用途
RUO

Reference

1.Hunger RE, et.al, J Clin Invest. 2004 Mar;113(5):701-8.
2.Ji Hyung Kim, et.al, Nature Immunology 17 (10) , pp. 1159-1166. 

Support Documents

Contact Us

Address
浙江省杭州市滨江区滨安路688号天和高科技园区5号楼1303室
310052
Phone & Fax
+400-8769-741
+0571-88177680
Web & Mail

Follow Us

Scan QR Codes on Your Phone